
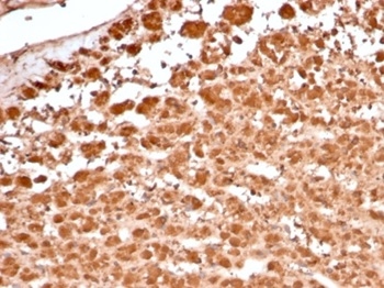
Formalin-fixed, paraffin-embedded human adrenal gland stained with Aldose Reductase Recombinant Mouse Monoclonal Antibody (rAKR1B1/7296). HIER: Tris/EDTA, pH9.0, 45min. 2°: HRP-polymer, 30min. DAB, 5min.

SDS-PAGE Analysis of Purified Aldose Reductase Recombinant Mouse Monoclonal Antibody (rAKR1B1/7296). Confirmation of Purity and Integrity of Antibody.

Western blot analysis of HEK293T lysate using AKR1B1 Recombinant Mouse Monoclonal Antibody (rAKR1B1/7296).
AKR1B1, also designated as aldose reductase, is a member of the aldo/keto reductase superfamily, which consists of more than 40 known enzymes and proteins. This protein catalyzes the reduction of a number of aldehydes, including the aldehyde form of glucose, and is thereby implicated in the development of diabetic complications by catalyzing the reduction of glucose to sorbitol. It has also been shown to have decreased expression in adrenocortical cancer, and possibly play a role in adrenal tumorigenesis. It has been suggested that AKR1B1 could be investigated as a marker of malignancy for adrenal tumor diagnosis.
There are no reviews yet.