KRT20 Antibodies

Cytokeratin 20 (CK20), encoded by the KRT20 gene on chromosome 17q21.2, is a type I intermediate filament protein. It consists of 424 amino acids and has a molecular weight of approximately 46 kDa. CK20 undergoes various post-translational modifications, including phosphorylation, glycosylation, and the formation of disulfide bonds, which can modulate its stability, localization, and function within cells. CK20 is primarily an intracellular protein, serving as a structural component of the cytoskeleton. CK20 is predominantly expressed in epithelial cells lining the gastrointestinal tract, including the stomach, intestines, and colon, in urothelial cells lining the urinary bladder, and Merkel cells in the skin. Various factors regulate its expression pattern, including developmental signals, tissue-specific transcription factors, and environmental stimuli. Functionally, CK20 contributes to the stability and mechanical resilience of epithelial tissues, providing structural support and assisting in cellular adhesion and migration processes. In addition to its structural role, CK20 expression is also involved in cellular signaling pathways and may play a role in regulating cell differentiation and proliferation.

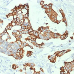
Dysregulation of CK20 expression or mutations in the KRT20 gene have been associated with certain health conditions and diseases, including gastrointestinal tumors such as colorectal cancer and urothelial carcinoma. In gastrointestinal tumors, such as colorectal cancer, CK20 expression is often assessed to differentiate between histological subtypes and aid in tumor classification. CK20-positive staining in tumor tissue samples can indicate the presence of intestinal-type adenocarcinomas, which may have implications for treatment decisions and patient management. Similarly, in urothelial carcinoma, CK20 expression is used as a diagnostic marker to distinguish between different subtypes of bladder cancer. CK20-positive staining is typically observed in non-transitional cell carcinomas, such as adenocarcinomas or squamous cell carcinomas, which may have distinct clinical characteristics and treatment responses compared to transitional cell carcinomas. 

CK20 expression has been investigated as a prognostic marker in certain cancers. In colorectal cancer, for example, CK20 expression has been associated with tumor aggressiveness, lymph node metastasis, and poorer patient outcomes. Additionally, in urothelial carcinoma, CK20 expression has been correlated with higher tumor grade, advanced stage, and decreased overall survival.

NeoBiotechnologies offers a variety of antibodies against CK20 that have been validated for flow cytometry, immunofluorescence, immunohistochemistry, and Western blotting. Additionally, we hold exclusive rights to CK20 antibodies available for licensing or collaboration [https://www.neobiotechnologies.com/shop/?s=KRT20].

Synonyms

Keratin, type I cytoskeletal 20, Cytokeratin-20, Keratin-20, Protein IT, CK20; Cytokeratin-20; K20; KA20; Keratin 20; keratin 20, type I; Keratin type I cytoskeletal 20; Keratin-20; KRT20

Research Areas

Developmental Biology

KRT20

PARTNERSHIP OPPORTUNITIES

NeoBiotechnologies holds Exclusive rights to 10,000 recombinant and hybridoma antibody products, available for Licensing or Collaboration.

LETS TALK