Cytokeratin 20 (KRT20) (Colorectal Epithelial Marker) Antibody [Ks20.8]

In Stock
Best Seller
Catalog Number Formulation Size Price
54474-MSM15-P0
Purified Ab with BSA and Azide at 200ug/ml
20ug
$259.00
54474-MSM15-P1
Purified Ab with BSA and Azide at 200ug/ml
100ug
$559.00
54474-MSM15-P1ABX
Purified Ab WITHOUT BSA and Azide at 1.0mg/ml
100ug
$559.00
Flat Rate Domestic: $95 | Orders outside the US - Contact Us for Order Information | Ships next business day

Applications & Dilutions

Applications Tested Dillution Protocol Note
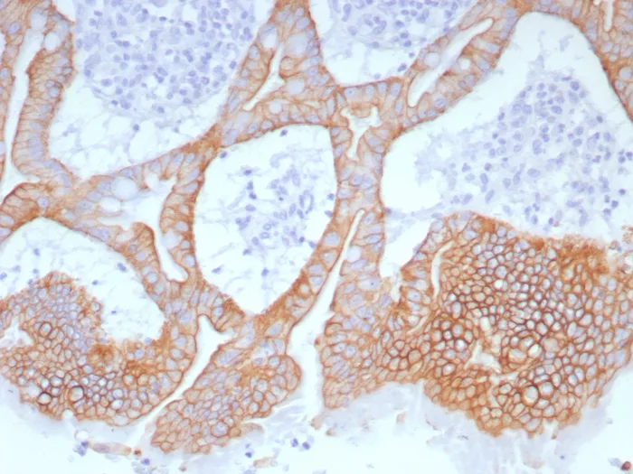
Immunohistochemistry (IHC)
1-2ug/ml
30 min at RT. Staining of formalin-fixed tissues requires heating tissue sections in 10mM Tris with 1mM EDTA, pH 9.0, for 45 min at 95°C followed by cooling at RT for 20 minutes

Summary

This MAb recognizes an intermediate filament protein of 46kDa, identified as cytokeratin 20 (KRT20). KRT20 is abundantly expressed in goblet cells and enterocytes of the gastrointestinal tract. It is a useful marker of pancreatic and colorectal cancer. KRT20 is expressed under normal, hyperplastic and neoplastic conditions. �It has been detected in adenocarcinomas of the colon, stomach �and biliary tract. � Breast carcinomas are generally non-reactive.

Product Properties & Targets

Antibody Type
Host
Mouse
Applications
Species Reactivity
Research Areas
Isotype / Light Chain
IgG1 / Kappa
Cellular Localization
Cytoplasm
Gene Name
Positive Control
HT29 cells. Human colon or prostate carcinoma.
Immunogen
Recombinant fragment of human KRT20 protein (around aa 196-323) (exact sequence is proprietary)
Alternate Names
Keratin, type I cytoskeletal 20, Cytokeratin-20, Keratin-20, Protein IT, CK20; Cytokeratin-20; K20; KA20; Keratin 20; keratin 20, type I; Keratin type I cytoskeletal 20; Keratin-20; KRT20

Database Links

Entrez Gene ID
SwissProt

Additional Information

Clone
Ks20.8
Chromosome Location
17q21.2
Mol. Weight of Antigen
46kDa

Functions

  • Plays a significant role in maintaining keratin filament organization in intestinal epithelia. When phosphorylated, plays a role in the secretion of mucin in the small intestine (By similarity).

Key References

  • Moll, R., et al. 1993. Differentiation 53: 75-93.
  • Wauters, C.C., et al. 1995. Hum. Pathol. 26: 852-855.

Storage & Stability

Antibody with azide - store at 2 to 8°C. Antibody without azide - store at -20 to -80°C. Antibody is stable for 24 months. Non-hazardous. No MSDS required.

Limitations

This antibody is available for research use only and is not approved for use in diagnos

Supplied as

200ug/ml of Ab purified from Bioreactor Concentrate by Protein A/G. Prepared in 10mM PBS with 0.05% BSA & 0.05% azide. Also available WITHOUT BSA & azide at 1.0mg/ml.

Warranty

There are no warranties, expressed or implied, which extend beyond this description. Company is not liable for any personal injury or economic loss resulting from this product.

Reviews

There are no reviews yet.

Be the first to review “Cytokeratin 20 (KRT20) (Colorectal Epithelial Marker) Antibody”

Your email address will not be published. Required fields are marked *

PARTNERSHIP OPPORTUNITIES

NeoBiotechnologies holds Exclusive rights to 10,000 recombinant and hybridoma antibody products, available for Licensing or Collaboration.

LETS TALK