
Formalin-fixed, paraffin-embedded human thymomastained with TdT Monospecific Mouse Monoclonal Antibody (TDT/1393).

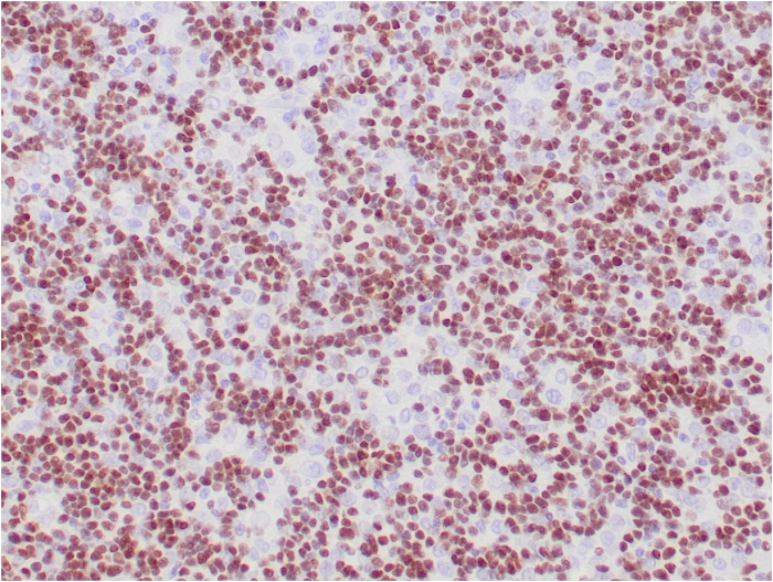
Formalin-fixed, paraffin-embedded human thymus stained with TdT Monospecific Mouse Monoclonal Antibody (TDT/1393).

Analysis of Protein Array containing more than 19,000 full-length human proteins using TdT-Monospecific Mouse Monoclonal Antibody (TDT/1393). Z- and S- Score: The Z-score represents the strength of a signal that a monoclonal antibody (MAb) (in combination with a fluorescently-tagged anti-IgG secondary antibody) produces when binding to a particular protein on the HuProtTM array. Z-scores are described in units of standard deviations (SD's) above the mean value of all signals generated on that array. If targets on HuProtTM are arranged in descending order of the Z-score, the S-score is the difference (also in units of SD's) between the Z-score. S-score therefore represents the relative target specificity of a MAb to its intended target. A MAb is considered to specific to its intended target, if the MAb has an S-score of at least 2.5. For example, if a MAb binds to protein X with a Z-score of 43 and to protein Y with a Z-score of 14, then the S-score for the binding of that MAb to protein X is equal to 29.
Terminal deoxynucleotidyl transferase (TdT) is an unusual deoxynucleotide polymerizing enzyme with a molecular weight of about 58 kDa found normally only in B- and T-cell lymphoblasts/prelymphocytes. TdT generates antigen receptor diversity by synthesizing non-germ line elements (N-regions) at the junctions of rearranged Ig heavy chain and T cell receptor gene segments. Rare TdT-positive cells are regularly detected in thymus and bone marrow. Typically, TdT expression in the thymus is very variable from cell to cell since it is rapidly decreased in more mature T-cells. TdT-positive cells may occasionally be found in tonsils, lymph nodes and extranodal lymphoid tissue. Immunohistochemical detection of TdT has value in classification of malignant lymphomas and acute leukemias, particularly for the identification of pre-B and pre-T acute lymphoblastic leukemia/lymphoblastic lymphoma (ALL/LBL).
There are no reviews yet.