
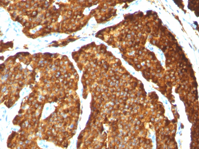
Formalin-fixed, paraffin-embedded human Pheochromocytoma stained with Chromogranin A Mouse Monoclonal Antibody (CHGA/777)

Western Blot of human Panc-1 cell lysate Chromogranin A Mouse Monoclonal Antibody (CHGA/777)

Formalin-fixed, paraffin-embedded human Pancreas stained with Chromogranin A Mouse Monoclonal Antibody (CHGA/777)
Chromogranin A is present in neuroendocrine cells throughout the body, including the neuroendocrine cells of the large and small intestine, adrenal medulla and pancreatic islets. It is an excellent marker for carcinoid tumors, pheochromocytomas, paragangliomas, and other neuroendocrine tumors. Co-expression of chromogranin A and neuron specific enolase (NSE) is common in neuroendocrine neoplasms. Reportedly, co-expression of certain keratins and chromogranin indicates neuroendocrine lineage. The presence of strong anti-chromogranin staining and absence of anti-keratin staining should raise the possibility of paraganglioma. The co-expression of chromogranin and NSE is typical of neuroendocrine neoplasms. Most pituitary adenomas and prolactinomas readily express chromogranin.
There are no reviews yet.