
Formalin-fixed, paraffin-embedded human serous ovarian cancer stained with CDK4 Recombinant Rabbit Monoclonal Antibody (CDK4/8351R). Inset: PBS instead of primary antibody; secondary only negative control.

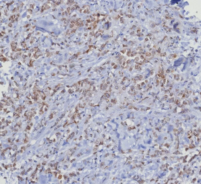
Formalin-fixed, paraffin-embedded human bladder cancer stained with CDK4 Recombinant Rabbit Monoclonal Antibody (CDK4/8351R). HIER: Tris/EDTA, pH9.0, 45min. 2°C: HRP-polymer, 30min. DAB, 5min.
Cyclin-dependent kinase-4 (CDK4) is a protein-serine kinase involved in the cell cycle. It is essential for the G1- to S-phase transition during the cell cycle and its expression is primarily controlled at the transcriptional level (PMID:17253961). CCND1- CDK4 axis is not only critical in glial tumor cells but also in stromal-derived cells in the surrounding tumor microenvironment that are vital to sustain tumor outgrowth (PMID:21844184). CDK4 is highly expressed in highly differentiated and dedifferentiated liposarcomas, but rarely expressed in other benign liposarcomas and other sarcomas. CDK4 and MDM2 combined to differentiate between highly differentiated liposarcoma (+), dedifferentiated liposarcoma (+) and myxoid liposarcoma, pleomorphic liposarcoma, spindle lipoma, pleomorphic lipoma and other high-grade sarcomas.
There are no reviews yet.