CDK4 Antibody [CDK4/8896]

In Stock
Catalog Number Formulation Size Price
1019-MSM5-P0
Purified Ab with BSA and Azide at 200ug/ml
20ug
$259.00
1019-MSM5-P1
Purified Ab with BSA and Azide at 200ug/ml
100ug
$559.00
1019-MSM5-P1ABX
Purified Ab WITHOUT BSA and Azide at 1.0mg/ml
100ug
$559.00
Flat Rate Domestic: $95 | Orders outside the US - Contact Us for Order Information | Ships next business day

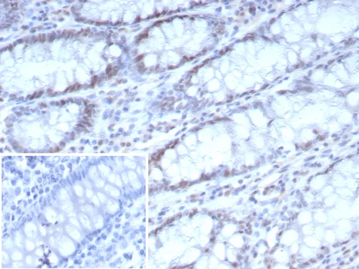
Applications & Dilutions

Applications Tested Dillution Protocol Note
Immunohistochemistry (IHC)
1-2ug/ml
30 min at RT. Staining of formalin-fixed tissues requires heating tissue sections in 10mM Tris with 1mM EDTA, pH 9.0, for 45 min at 95°C followed by cooling at RT for 20 minutes

Summary

Cyclin-dependent kinase-4 (CDK4) is a protein-serine kinase involved in the cell cycle. It is essential for the G1- to S-phase transition during the cell cycle and its expression is primarily controlled at the transcriptional level (PMID:17253961). CCND1- CDK4 axis is not only critical in glial tumor cells but also in stromal-derived cells in the surrounding tumor microenvironment that are vital to sustain tumor outgrowth (PMID:21844184). CDK4 is highly expressed in highly differentiated and dedifferentiated liposarcomas, but rarely expressed in other benign liposarcomas and other sarcomas. CDK4 and MDM2 combined to differentiate between highly differentiated liposarcoma (+), dedifferentiated liposarcoma (+) and myxoid liposarcoma, pleomorphic liposarcoma, spindle lipoma, pleomorphic lipoma and other high-grade sarcomas.

Product Properties & Targets

Antibody Type
Host
Mouse
Applications
Species Reactivity
Isotype / Light Chain
IgG1 / Kappa
Cellular Localization
Nucleus. Cytoplasm.
Gene Name
Positive Control
cervical carcinoma and liposarcomas.|Human urothelial carcinoma
Immunogen
Recombinant fragment (around aa150-303) of human CDK4 protein (exact sequence is proprietary)
Alternate Names
Cyclin-dependent kinase 4, Cell division protein kinase 4, PSK-J3, CDK4 protein; CDK4_HUMAN; Cell division protein kinase 4; CMM3; Crk3; Cyclin dependent kinase 4; Melanoma cutaneous malignant 3; MGC14458; p34 cdk4; PSK-J3

Database Links

Entrez Gene ID
SwissProt

Additional Information

Clone
CDK4/8896
Chromosome Location
12q14.1
Mol. Weight of Antigen
34kDa

Functions

  • Ser/Thr-kinase component of cyclin D-CDK4 (DC) complexes that phosphorylate and inhibit members of the retinoblastoma (RB) protein family including RB1 and regulate the cell-cycle during G(1)/S transition. Phosphorylation of RB1 allows dissociation of the transcription factor E2F from the RB/E2F complexes and the subsequent transcription of E2F target genes which are responsible for the progression through the G(1) phase. Hypophosphorylates RB1 in early G(1) phase. Cyclin D-CDK4 complexes are major integrators of various mitogenenic and antimitogenic signals. Also phosphorylates SMAD3 in a cell-cycle-dependent manner and represses its transcriptional activity. Component of the ternary complex, cyclin D/CDK4/CDKN1B, required for nuclear translocation and activity of the cyclin D-CDK4 complex.

Key References

  • Ma L et al. Oncotarget 8:4125-4135 (2017).

Storage & Stability

Antibody with azide - store at 2 to 8°C. Antibody without azide - store at -20 to -80°C.Antibody is stable for 24 months. Non-hazardous. No MSDS required.

Limitations

This antibody is available for research use only and is not approved for use in diagnosis.

Supplied as

200ug/ml of Ab purified from Bioreactor Concentrate by Protein A/G. Prepared in 10mM PBS with 0.05% BSA & 0.05% azide. Also available WITHOUT BSA & azide at 1.0mg/ml.

Warranty

There are no warranties, expressed or implied, which extend beyond this description. Company is not liable for any personal injury or economic loss resulting from this product.

Reviews

There are no reviews yet.

Be the first to review “CDK4 Antibody”

Your email address will not be published. Required fields are marked *

PARTNERSHIP OPPORTUNITIES

NeoBiotechnologies holds Exclusive rights to 10,000 recombinant and hybridoma antibody products, available for Licensing or Collaboration.

LETS TALK