
Immunofluorescent Analysis of HeLa cells using CF488-labeled CD63 Mouse Monoclonal Antibody (NKI/C3). F-actin filaments are labeled with Dylight 554 phalloidin (red). DAPI was used to stain the cell nucleus (blue).

Formalin-fixed, paraffin-embedded mouse spleen stained with CD63 Mouse Monoclonal Antibody (NKI/C3) (DAB Chromogen)

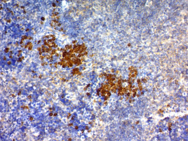
Formalin-fixed, paraffin-embedded human melanoma stained with CD63 Mouse Monoclonal Antibody (NKI/C3) (AEC Chromogen)

Flow Cytometric Analysis of PFA-fixed U87MG cells. CD63 Mouse Monoclonal Antibody (NKI/C3) followed by goat anti-mouse IgG-CF488 (blue); isotype control (red).

SDS-PAGE Analysis Purified CD63 Mouse Monoclonal Antibody (NKI/C3). Confirmation of Purity and Integrity of Antibody.

Flow cytometric analysis of human CD63 on MCF-7 cells. Black: cells alone; Green: isotype control; Red: PE-labeled CD63 Mouse Monoclonal Antibody (NKI/C3).

Flow cytometry analysis of live MCF-7 cells. Unstained (gray) or stained with biotin-labeled CD63 monoclonal antibody (NKI-C3) followed by streptavidin-CF568 (orange).
This MAb recognizes protein of 26kDa-60kDa, which is identified as CD63. Its epitope is different from that of MAb LAMP3/529. The tetraspanins are integral membrane proteins expressed on cell surface and granular membranes of hematopoietic cells and are components of multi-molecular complexes with specific integrins. The tetraspanin CD63 is a lysosomal membrane glycoprotein that translocates to the plasma membrane after platelet activation. CD63 is expressed on activated platelets, monocytes and macrophages, and is weakly expressed on granulocytes, T cell and B cells. It is located on the basophilic granule membranes and on the plasma membranes of lymphocytes and granulocytes. CD63 is a member of the TM4 superfamily of leukocyte glycoproteins that includes CD9, CD37 and CD53, which contain four transmembrane regions. CD63 may play a role in phagocytic and intracellular lysosome-phagosome fusion events. CD63 deficiency is associated with Hermansky-Pudlak syndrome and is strongly expressed during the early stages of melanoma progression.
There are no reviews yet.