OLIG2 Antibodies

Oligodendrocyte transcription factor 2 (OLIG2) is a protein that plays a crucial role in the development of the central nervous system (CNS). It is primarily expressed in the developing and mature central nervous system. This transcription factor is involved in the development of oligodendrocytes, which are a type of glial cell responsible for the formation of myelin, a crucial component of nerve fibers that facilitates efficient electrical conduction.

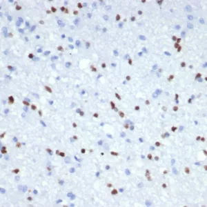
OLIG2 has been implicated in various neurological conditions, including multiple sclerosis (MS), gliomas (a type of brain tumor), and other demyelinating disorders. It is often overexpressed in gliomas and is considered a marker for certain types of glioma cells.

Antibodies against OLIG2 are commonly used in research and diagnostic settings. These antibodies help researchers study the expression pattern of Oligodendrocyte transcription factor 2 in tissues, aiding in identifying and characterizing oligodendrocytes and related cells. Antibodies against OLIG2 can also be used in immunohistochemistry and immunofluorescence techniques to detect and visualize its expression in tissue samples. Understanding its expression in tumors, such as gliomas, could have diagnostic implications.

Synonyms

Oligodendrocyte transcription factor 2, Class B basic helix-loop-helix protein 1, Class E basic helix-loop-helix protein 19, Protein kinase C-binding protein 2, Protein kinase C-binding protein RACK17, Basic helix loop helix protein class B1 (bHLHB1); basic helix-loop-helix protein 19 (bHLHe19); OLIG2; Oligodendrocyte lineage transcription factor 2; Oligodendrocyte specific bHLH transcription factor 2; Oligodendrocyte transcription factor 2; Protein kinase C-binding protein 2 (PRKCBP2); RACK17

Research Areas

Neural Stem Cells

OLIG2

PARTNERSHIP OPPORTUNITIES

NeoBiotechnologies holds Exclusive rights to 10,000 recombinant and hybridoma antibody products, available for Licensing or Collaboration.

LETS TALK