Recombinant OLIG2 (Marker of Glial Brain Tumors) Antibody [OLIG2/9995R]

In Stock
Catalog Number Formulation Size Price
10215-RBM12-P0
Purified Ab with BSA and Azide at 200ug/ml
20ug
$259.00
10215-RBM12-P1
Purified Ab with BSA and Azide at 200ug/ml
100ug
$559.00
10215-RBM12-P1ABX
Purified Ab WITHOUT BSA and Azide at 1.0mg/ml
100ug
$559.00
Flat Rate Domestic: $95 | Orders outside the US - Contact Us for Order Information | Ships next business day

Applications & Dilutions

Applications Tested Dillution Protocol Note
Immunohistochemistry (IHC)
1-2ug/ml
30 min at RT. Staining of formalin-fixed tissues requires heating tissue sections in 10mM Tris with 1mM EDTA, pH 9.0, for 45 min at 95°C followed by cooling at RT for 20 minutes

Summary

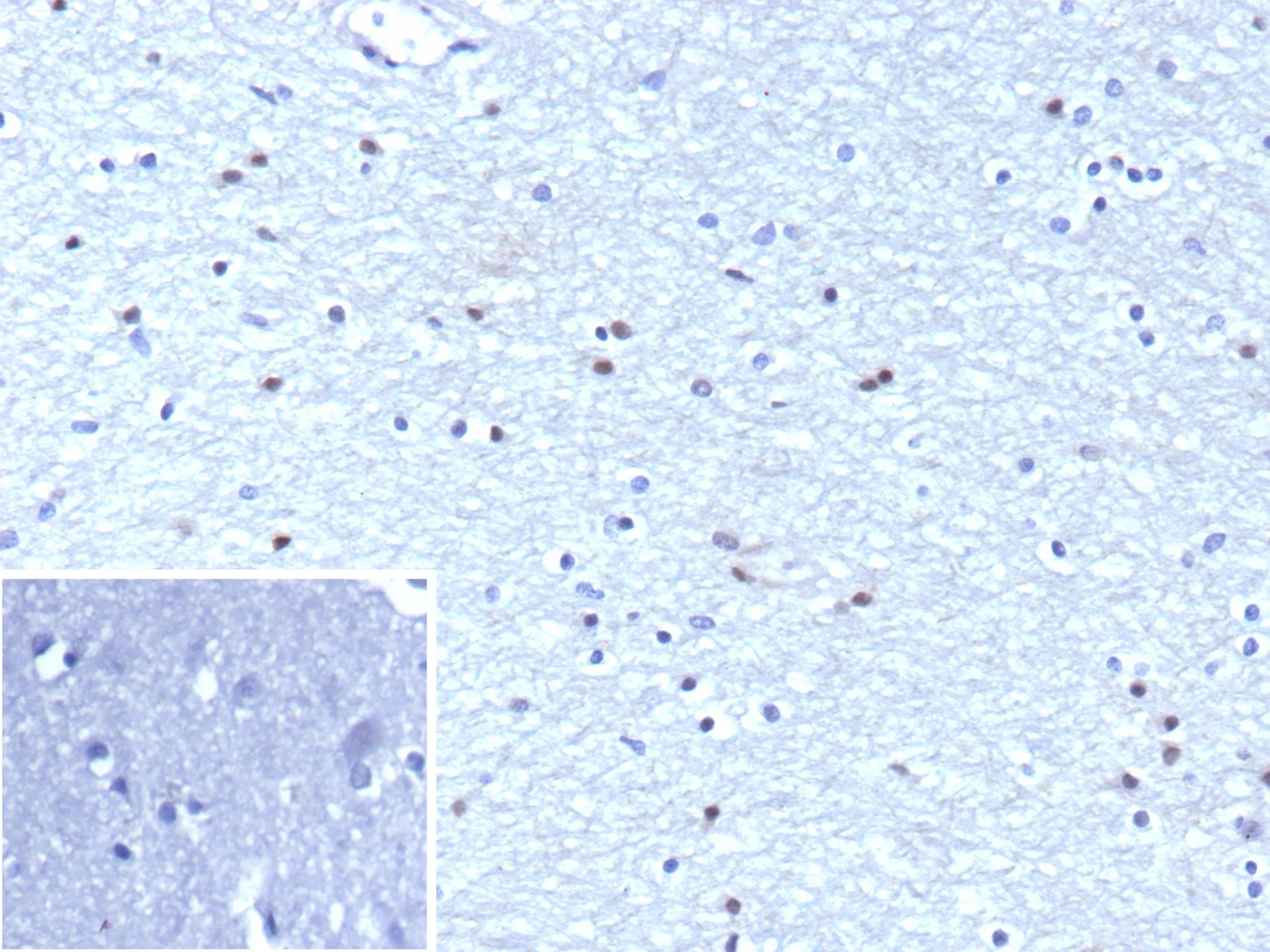
Olig2, a basic helix-loop-helix transcription factor, is involved in oligo-dendroglial specification. Olig2 expression has been reported in most glial tumors, such as oligodendrogliomas and astrocytomas. Although more than half of glioblastomas are positive for Olig2, expression is very weak in terms of both percentage of labeled cells and intensity. No Olig2 expression has been found in the non-glial tumors including neuroepithelial tumors, ependymomas, sub-ependymomas, medulloblastomas, and non-neuroepithelial tumors, such as CNS lymphomas, meningiomas, schwannomas, atypical teratoid/rhabdoid tumor, and haemangioblastomas. Compared to the strong staining seen in glioma samples, a weak expression is observed in non-tumoral brain tissue.

Product Properties & Targets

Host
Rabbit
Applications
Species Reactivity
Research Areas
Isotype / Light Chain
IgG / Kappa
Cellular Localization
Nucleus. Cytoplasm.
Gene Name
Positive Control
THP-1 cells. Human brain or astrocytoma.
Immunogen
Recombinant fragment (around aa1-200) of human OLIG2 protein (exact sequence is proprietary)
Alternate Names
Oligodendrocyte transcription factor 2, Class B basic helix-loop-helix protein 1, Class E basic helix-loop-helix protein 19, Protein kinase C-binding protein 2, Protein kinase C-binding protein RACK17, Basic helix loop helix protein class B1 (bHLHB1); basic helix-loop-helix protein 19 (bHLHe19); OLIG2; Oligodendrocyte lineage transcription factor 2; Oligodendrocyte specific bHLH transcription factor 2; Oligodendrocyte transcription factor 2; Protein kinase C-binding protein 2 (PRKCBP2); RACK17

Database Links

Entrez Gene ID
SwissProt

Additional Information

Clone
OLIG2/9995R
Chromosome Location
21q22.11
Mol. Weight of Antigen
32kDa

Functions

  • Required for oligodendrocyte and motor neuron specification in the spinal cord, as well as for the development of somatic motor neurons in the hindbrain. Functions together with ZNF488 to promote oligodendrocyte differentiation. Cooperates with OLIG1 to establish the pMN domain of the embryonic neural tube. Antagonist of V2 interneuron and of NKX2-2-induced V3 interneuron development.

Key References

  • Shou JW et al. Front Cell Neurosci 13:395 (2019). https://doi.org/10.3389/fncel.2019.00395
  • Cho KHT et al. Sci Rep 10:6904 (2020). https://doi.org/10.1038/s41598-020-59902-7

Storage & Stability

Antibody with azide - store at 2 to 8°C. Antibody without azide - store at -20 to -80°C. Antibody is stable for 24 months. Non-hazardous. No MSDS required.

Limitations

This antibody is available for research use only and is not approved for use in diagnosis.

Supplied as

200ug/ml of Ab purified from Bioreactor Concentrate by Protein A/G. Prepared in 10mM PBS with 0.05% BSA & 0.05% azide. Also available WITHOUT BSA & azide at 1.0mg/ml.

Warranty

There are no warranties, expressed or implied, which extend beyond this description. Company is not liable for any personal injury or economic loss resulting from this product.

Reviews

There are no reviews yet.

Be the first to review “Recombinant OLIG2 (Marker of Glial Brain Tumors) Antibody”

Your email address will not be published. Required fields are marked *

PARTNERSHIP OPPORTUNITIES

NeoBiotechnologies holds Exclusive rights to 10,000 recombinant and hybridoma antibody products, available for Licensing or Collaboration.

LETS TALK