GFAP Antibodies

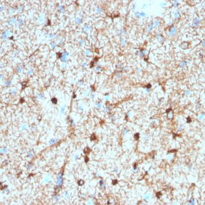
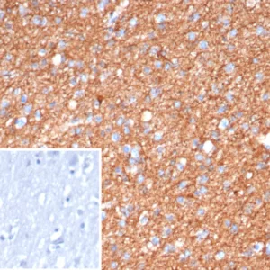
Glial Fibrillary Acidic Protein (GFAP) has a molecular weight of approximately 50 kDa. It is primarily expressed in astrocytes, a glial cell in the central nervous system (CNS), and a marker for mature astrocytes. It is crucial for the normal functioning of astrocytes, which play a role in various processes, including the maintenance of the blood-brain barrier, regulation of neurotransmitter levels, and response to injury. Increased levels of Glial Fibrillary Acidic Protein in the cerebrospinal fluid (CSF) or blood are associated with various CNS injuries and neurodegenerative diseases, including traumatic brain injury (TBI) and stroke.

Antibodies against GFAP are widely used in research and diagnostics. Immunohistochemistry and immunofluorescence techniques employing anti-GFAP antibodies help identify and visualize astrocytes in tissue sections. Clinical applications of measuring its levels include its use as a biomarker for diagnosing and monitoring traumatic brain injury.

Synonyms

Glial fibrillary acidic protein, Astrocyte or Intermediate Filament Protein, Glial Fibrillary Acidic Protein (GFAP)

Research Areas

Cardiovascular, Neuroscience, Endothelial Cell Marker, Neural Stem Cells, Neuroinflammation, Signal Transduction

GFAP

PARTNERSHIP OPPORTUNITIES

NeoBiotechnologies holds Exclusive rights to 10,000 recombinant and hybridoma antibody products, available for Licensing or Collaboration.

LETS TALK