GFAP (Astrocyte & Neural Stem Cell Marker) Antibody [GFAP/6881]

In Stock
Catalog Number Formulation Size Price
2670-MSM21-P0
Purified Ab with BSA and Azide at 200ug/ml
20ug
$259.00
2670-MSM21-P1
Purified Ab with BSA and Azide at 200ug/ml
100ug
$559.00
2670-MSM21-P1ABX
Purified Ab WITHOUT BSA and Azide at 1.0mg/ml
100ug
$559.00
Flat Rate Domestic: $95 | Orders outside the US - Contact Us for Order Information | Ships next business day

Applications & Dilutions

Applications Tested Dillution Protocol Note
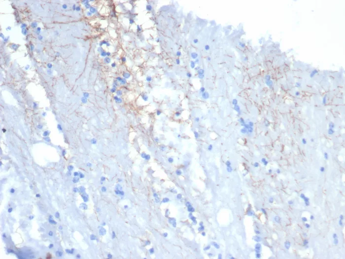
Immunohistochemistry (IHC)
1-2ug/ml
30 min at RT. Staining of formalin-fixed tissues requires heating tissue sections in 10mM Tris with 1mM EDTA, pH 9.0, for 45 min at 95°C followed by cooling at RT for 20 minutes
Western Blot (WB)
2-4ug/ml

Summary

This MAb recognizes a protein of ~50kDa which is identified as Glial Fibrillary Acidic Protein (GFAP). It shows no cross-reaction with other intermediate filament proteins. GFAP is specifically found in astroglia. GFAP is a very popular marker for localizing benign astrocyte and neoplastic cells of glial origin in the central nervous system.Antibody to GFAP is useful in differentiating primary gliomas from metastatic lesions in the brain and for documenting astrocytic differentiation in tumors outside the CNS.

Product Properties & Targets

Antibody Type
Host
Mouse
Species Reactivity
Isotype / Light Chain
IgG1 / Kappa
Cellular Localization
Cytoplasm.
Gene Name
Positive Control
Human brain or astrocytoma.
Immunogen
Recombinant fragment (around aa 150-250) of human GFAP protein (exact sequence is proprietary)
Alternate Names
Glial fibrillary acidic protein, Astrocyte or Intermediate Filament Protein, Glial Fibrillary Acidic Protein (GFAP)

Database Links

Entrez Gene ID
SwissProt

Additional Information

Clone
GFAP/6881
Chromosome Location
17q21.31
Mol. Weight of Antigen
~50kDa

Functions

  • GFAP, a class-III intermediate filament, is a cell-specific marker that, during the development of the central nervous system, distinguishes astrocytes from other glial cells.

Key References

  • McLendon, R.E. and Bigner, D.D. 1994. Immunohistochemistry of the glial fibrillary acidic protein: basic and applied considerations. Brain Pathol. 4: 221-228.

PubMed Links

Storage & Stability

Antibody with azide - store at 2 to 8°C. Antibody without azide - store at -20 to -80°C.Antibody is stable for 24 months. Non-hazardous. No MSDS required.

Limitations

This antibody is available for research use only and is not approved for use in diagnosis.

Supplied as

200ug/ml of Ab purified from Bioreactor Concentrate by Protein A/G. Prepared in 10mM PBS with 0.05% BSA & 0.05% azide. Also available WITHOUT BSA & azide at 1.0mg/ml.

Warranty

There are no warranties, expressed or implied, which extend beyond this description. Company is not liable for any personal injury or economic loss resulting from this product.

Reviews

There are no reviews yet.

Be the first to review “GFAP (Astrocyte & Neural Stem Cell Marker) Antibody”

Your email address will not be published. Required fields are marked *

PARTNERSHIP OPPORTUNITIES

NeoBiotechnologies holds Exclusive rights to 10,000 recombinant and hybridoma antibody products, available for Licensing or Collaboration.

LETS TALK