
Formalin-fixed, paraffin-embedded human Cerebellum stained with GFAP Monoclonal Antibody (GA-5 + ASTRO/789).

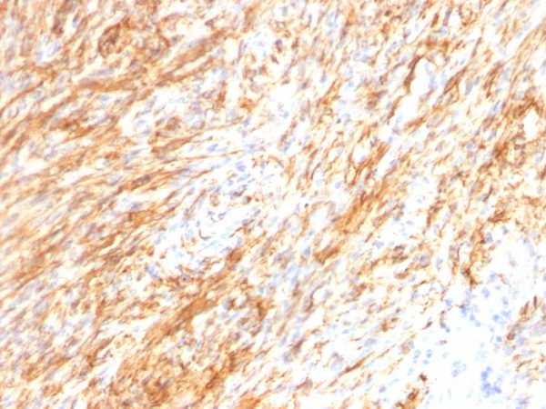
Formalin-fixed, paraffin-embedded human Schwanoma stained with GFAP Monoclonal Antibody (GA-5 + ASTRO/789).
This MAb recognizes a protein of ~50kDa which is identified as Glial Fibrillary Acidic Protein (GFAP). It shows no cross-reaction with other intermediate filament proteins. GFAP is specifically found in astroglia. GFAP is a very popular marker for localizing benign astrocyte and neoplastic cells of glial origin in the central nervous system. Antibody to GFAP is useful in differentiating primary gliomas from metastatic lesions in the brain and for documenting astrocytic differentiation in tumors outside the CNS.
There are no reviews yet.