
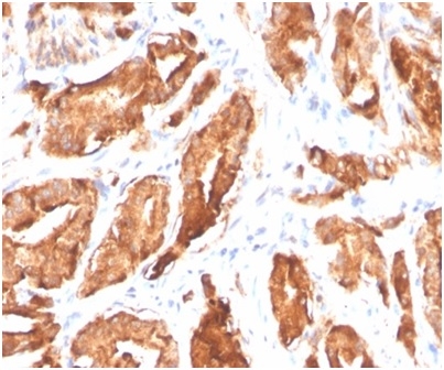
Formalin-fixed, paraffin-embedded human prostate carcinoma stained with PSA Recombinant Rabbit MonoclonalAntibody (KLK3/4602R).

Formalin-fixed, paraffin-embedded human prostate carcinoma stained with PSA Recombinant Rabbit Monoclonal Antibody (KLK3/4602R).
Prostate-specific antigen (PSA) is a single-chain glycoprotein of 237 amino acids containing approximately 8% carbohydrate. It is a serine protease produced almost exclusively by prostatic epithelial cells. Immunohistochemically PSA is expressed in the highly specialized apically-superficial layer of female and male secretory cells of the prostate gland, and is readily demonstrated in adenocarcinomas of the prostate in about 99% of the cases. There is a correlation between malignancy grade and intensity of staining, high grade carcinomas displaying weaker expression. About 1% of poorly differentiated carcinomas have been negative for PSA. Due to the high specificity of PSA for prostatic glandular epithelium, it is very useful in identifying prostatic carcinoma in the prostate and in the adjacent organs often affected by epithelial malignancies, i.e. rectum and urinary bladder. PSA may be used in a panel together with NKX3.1 and Prostein, which are at least as sensitive and slightly more specific than PSA.
There are no reviews yet.