
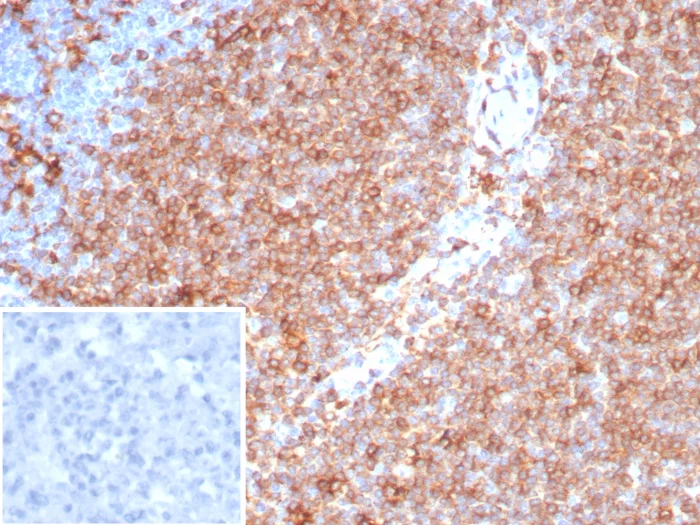
Formalin-fixed, paraffin-embedded human tonsil stained with HLA-Pan Rabbit Recombinant Monoclonal Antibody (HLA-Pan/8311R). Inset: PBS instead of primary antibody; secondary only negative control.
Reacts with a common epitope of human major histocompatibility (MHC) class II antigens, HLA-DP, -DQ and -DR. Human MHC class II antigens are transmembrane glycoproteins composed of an alpha chain (36kDa) and a beta chain (27kDa). They are expressed primarily on antigen presenting cells such as B lymphocytes, monocytes, macrophages, and thymic epithelial cells and are also present on activated T lymphocytes. Human MHC class II genes are located in the HLA-D region that encodes at least six alpha and ten beta chain genes. Three loci, DR, DQ and DP, encode the major expressed products of the human class II region. The human MHC class II molecules bind intracellularly processed peptides and present them to T-helper cells. They, therefore, have a critical role in the initiation of the immune response.
There are no reviews yet.