
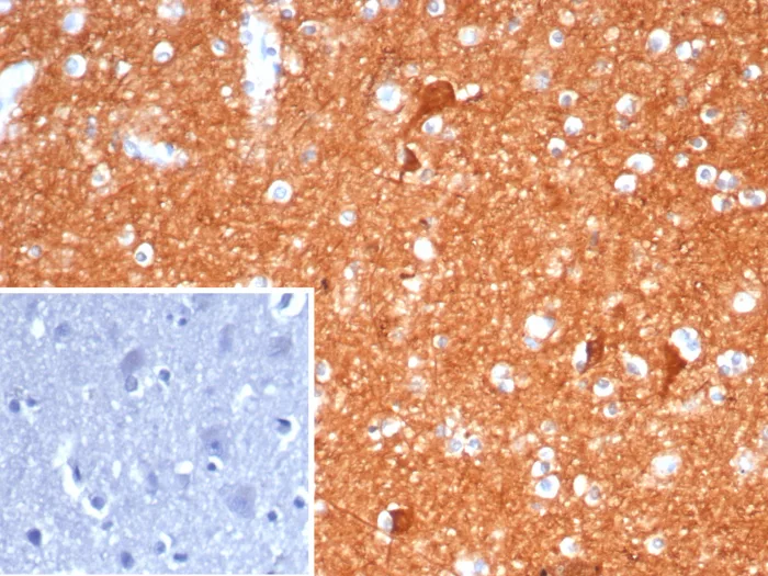
Formalin-fixed, paraffin-embedded human brain stained with NSE gamma Mouse Monoclonal Antibody (ENO2/6680). Inset: PBS instead of primary antibody; secondary only negative control.

SDS-PAGE Analysis of Purified NSE gamma Mouse Monoclonal Antibody (ENO2/6680). Confirmation of Purity and Integrity of Antibody.

Analysis of Protein Array containing more than 19,000 full-length human proteins using Monospecific Mouse Monoclonal Antibody to NSE gamma (ENO2/6680). Z- and S- Score: The Z-score represents the strength of a signal that a monoclonal antibody (MAb) (in combination with a fluorescently-tagged anti-IgG secondary antibody) produces when binding to a particular protein on the HuProtTM array. Z-scores are described in units of standard deviations (SD's) above the mean value of all signals generated on that array. If targets on HuProtTM are arranged in descending order of the Z-score, the S-score is the difference (also in units of SD's) between the Z-score. S-score therefore represents the relative target specificity of a MAb to its intended target. A MAb is considered to specific to its intended target, if the MAb has an S-score of at least 2.5. For example, if a MAb binds to protein X with a Z-score of 43 and to protein Y with a Z-score of 14, then the S-score for the binding of that MAb to protein X is equal to 29.
This monoclonal antibody recognizes a protein of about 50kDa, which is identified as gamma-enolase. Three isoenzymes of enolases are identified, alpha, beta and gamma. Alpha-isoform is expressed in most tissues, whereas beta-form is expressed predominantly in muscle tissue whereas gamma-enolase is found only in nervous tissue. These isoforms exist as both homodimers and heterodimers, and they play a role in converting phosphoglyceric acid to phosphenolpyruvic acid in the glycolytic pathway. NSE-gamma is a useful marker to identify peripheral nerves and tumors of neuro-endocrine origins, such as pheochromocytomas. �It it be usually employed in combination with other markers such as Synaptophysin, �Chromogranin A, and Neurofilament. �
There are no reviews yet.