
Formalin-fixed, paraffin-embedded human Pheochromocytoma stained with NSE gamma Monoclonal Antibody (ENO2/1375).

Formalin-fixed, paraffin-embedded human Cerebellum stained with NSE gamma Monoclonal Antibody (ENO2/1375).

Formalin-fixed, paraffin-embedded Mouse Pancreas stained with NSE gamma Mouse Monoclonal Antibody (ENO2/1375).

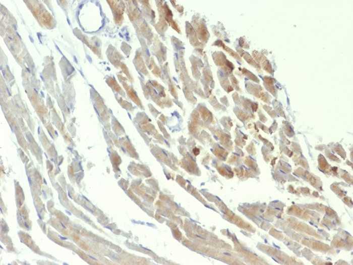
Formalin-fixed, paraffin-embedded Rat Heart stained with NSE gamma Mouse Monoclonal Antibody (ENO2/1375).
Recognizes a protein of about 50kDa, which is identified as gamma-enolase. Three isoenzymes of enolases are identified, alpha, beta and gamma. Alpha-isoform is expressed in most tissues, whereas beta-form is expressed predominantly in muscle tissue whereas gamma-enolase is found only in nervous tissue. These isoforms exist as both homodimers and heterodimers, and they play a role in converting phosphoglyceric acid to phosphenolpyruvic acid in the glycolytic pathway. NSE-gamma is a useful marker to identify peripheral nerves and tumors of neuro-endocrine origins, such as pheochromocytomas.It it be usually employed in combination with other markers such as Synaptophysin,Chromogranin A, and Neurofilament.
There are no reviews yet.