
Formalin-fixed, paraffin-embedded human colon stained with MSH6 Recombinant Rabbit Monoclonal Antibody (MSH6/4592R).

SDS-PAGE Analysis Purified MSH6 Recombinant Rabbit Monoclonal Antibody (MSH6/4592R). Confirmation of Purity and Integrity of Antibody.

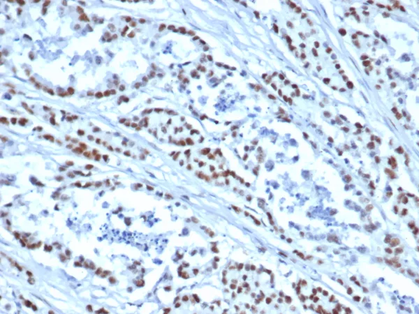
Formalin-fixed, paraffin-embedded human colon stained with MSH6 Recombinant Rabbit Monoclonal Antibody (MSH6/4592R). HIER: Tris/EDTA, pH9.0, 45min. 2°: HRP-polymer, 30min. DAB, 5min.
The finding that mutations in DNA mismatch repair genes are associated with hereditary nonpolyposis colorectal cancer (HNPCC) has resulted in considerable interest in the understanding of the mechanism of DNA mismatch repair. Initially, inherited mutations in the MSH2 and MLH1 homologs of the bacterial DNA mismatch repair genes mutS and mutL were demonstrated at high frequency in HNPCC and were shown to be associated with microsatellite instability. A member of the mismatch repair family, GTBP (also designated MSH6), is an MSH2-related protein that binds to DNA containing G/T mismatches. Findings suggest that the mismatch-binding factor in human cells is composed of a heterodimer of GTBP and MSH2.
There are no reviews yet.