
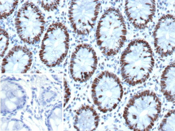
Formalin-fixed, paraffin-embedded human colon stained with MSH6 Recombinant Rabbit Monoclonal Antibody (MSH6/13194R). Inset: PBS instead of primary antibody; secondary only negative control.
MSH6 is a mismatch repair protein which is deficient in a high proportion of patients with microsatellite instability (MSI-H). It has been suggested that the deficiencies in DNA mismatch repair protein(s) can be seen in some malignancies such as hereditary nonpolyposis colorectal cancer (HNPCC) and endometrial cancer. MSH6 expressed in all proliferating cells participate in repair of base-base mismatch, that occur during DNA replication. Loss of MSH6 expression leads to an accumulation of DNA replication errors in the proliferating cells, particularly in areas of the genome with short repetitive nucleotide sequences, a phenomenon known as microsatellite instability (MSI). MSH6 always used as panel with MLH1, MSH2, PMS2, and may be useful to aid in identifying the most probable gene responsiblefor the MSI.
There are no reviews yet.