
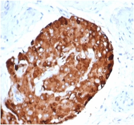
IHC analysis of formalin-fixed, paraffin-embedded humantesticular carcinoma. Staining withrINHA/6919at 2ug/ml in PBS for 30min RT. HIER: Tris/EDTA, pH9.0, 45min. 2 °: HRP-polymer, 30min. DAB, 5min.

IHC analysis of formalin-fixed, paraffin-embedded human brain. Negative tissue control using rINHA/6919at 2ug/ml in PBS for 30min RT. HIER: Tris/EDTA, pH9.0, 45min. 2 °: HRP-polymer, 30min. DAB, 5min.
It recognizes a 47kDa protein, which is identified as alpha sub-unit of Inhibin. It is a gonadal protein that preferentially suppresses the secretion of pituitary follicle-stimulating hormone (FSH). Inhibin comprises two subunits, Inhibin A and Inhibin B. Each subunit consists of the same 伪 subunit, covalently linked to 1 of 2 distinct subunits, 尾-伪 or 尾-尾. Originally isolated from ovarian follicular fluid and characterized as a disulphide-linked dimeric glycoprotein, inhibin belongs to the transforming growth factor 尾 (TFG尾) superfamily. Antibodies against Inhibin are useful in making a differentiation between adrenal cortical tumors and renal cell carcinoma. Sex cord stromal tumors of the ovary as well as trophoblastic tumors also demonstrate cytoplasmic positivity. Inhibin antibody is also used to make the differential diagnosis of intra-uterine vs. ectopic pregnancy in endometrial curetting.
There are no reviews yet.