Inhibin, alpha (INHA) (Gonadal Cell Marker) Antibody [INHA/4265]

In Stock
Catalog Number Formulation Size Price
3623-MSM5-P0
Purified Ab with BSA and Azide at 200ug/ml
20ug
$259.00
3623-MSM5-P1
Purified Ab with BSA and Azide at 200ug/ml
100ug
$559.00
3623-MSM5-P1ABX
Purified Ab WITHOUT BSA and Azide at 1.0mg/ml
100ug
$559.00
Flat Rate Domestic: $95 | Orders outside the US - Contact Us for Order Information | Ships next business day

Applications & Dilutions

Applications Tested Dillution Protocol Note
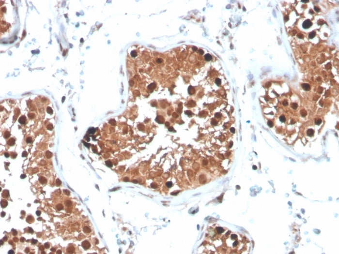
Immunohistochemistry (IHC)
1-2ug/ml
30 min at RT. Staining of formalin-fixed tissues requires heating tissue sections in 10mM Tris with 1mM EDTA, pH 9.0, for 45 min at 95°C followed by cooling at RT for 20 minutes

Summary

It recognizes a 47kDa protein, which is identified as alpha sub-unit of Inhibin. It is a gonadal protein that preferentially suppresses the secretion of pituitary follicle-stimulating hormone (FSH). Inhibin comprises two subunits, Inhibin A and Inhibin B. Each subunit consists of the same 伪 subunit, covalently linked to 1 of 2 distinct subunits, 尾-伪 or 尾-尾. Originally isolated from ovarian follicular fluid and characterized as a disulphide-linked dimeric glycoprotein, inhibin belongs to the transforming growth factor 尾 (TFG尾) superfamily. Antibodies against Inhibin are useful in making a differentiation between adrenal cortical tumors and renal cell carcinoma. Sex cord stromal tumors of the ovary as well as trophoblastic tumors also demonstrate cytoplasmic positivity. Inhibin antibody is also used to make the differential diagnosis of intra-uterine vs. ectopic pregnancy in endometrial curetting.

Product Properties & Targets

Antibody Type
Host
Mouse
Applications
Species Reactivity
Research Areas
Isotype / Light Chain
IgG2a /
Cellular Localization
Secreted
Gene Name
Positive Control
Human prostate or testis.
Immunogen
A synthetic peptide (around aa 73-96) of α-subunit of human inhibin A protein (exact sequence is proprietary)
Alternate Names
Inhibin alpha chain, A inhibin subunit; IHA; inhA; Inhibin alpha chain; Inhibin alpha subunit

Database Links

Entrez Gene ID
SwissProt

Additional Information

Clone
INHA/4265
Chromosome Location
2q35
Mol. Weight of Antigen
47kDa

Functions

  • Inhibins and activins inhibit and activate, respectively, the secretion of follitropin by the pituitary gland. Inhibins/activins are involved in regulating a number of diverse functions such as hypothalamic and pituitary hormone secretion, gonadal hormone secretion, germ cell development and maturation, erythroid differentiation, insulin secretion, nerve cell survival, embryonic axial development or bone growth, depending on their subunit composition. Inhibins appear to oppose the functions of activins.

Key References

  • Balanathan, P., et al. (2009) Elevated level of inhibin- αsubunit is pro- tumourigenic and pro- metastatic and associatedwith extracapsular spread in advanced prostate cancer.British Journal of Cancer,100(11), 1784 1793.

Storage & Stability

Antibody with azide - store at 2 to 8 °C. Antibody without azide - store at -20 to -80 °C. Antibody is stable for 24 months. Non-hazardous. No MSDS required.

Limitations

This antibody is available for research use only and is not approved for use in diagnosis.

Supplied as

200ug/ml of Ab purified from Bioreactor Concentrate by Protein A/G. Prepared in 1mM PBS with 0.05% BSA & 0.05% azide. Also available WITHOUT BSA & azide at 1.0mg/ml.

Warranty

There are no warranties, expressed or implied, which extend beyond this description. Company is not liable for any personal injury or economic loss resulting from this product.

Reviews

There are no reviews yet.

Be the first to review “Inhibin, alpha (INHA) (Gonadal Cell Marker) Antibody”

Your email address will not be published. Required fields are marked *

PARTNERSHIP OPPORTUNITIES

NeoBiotechnologies holds Exclusive rights to 10,000 recombinant and hybridoma antibody products, available for Licensing or Collaboration.

LETS TALK