
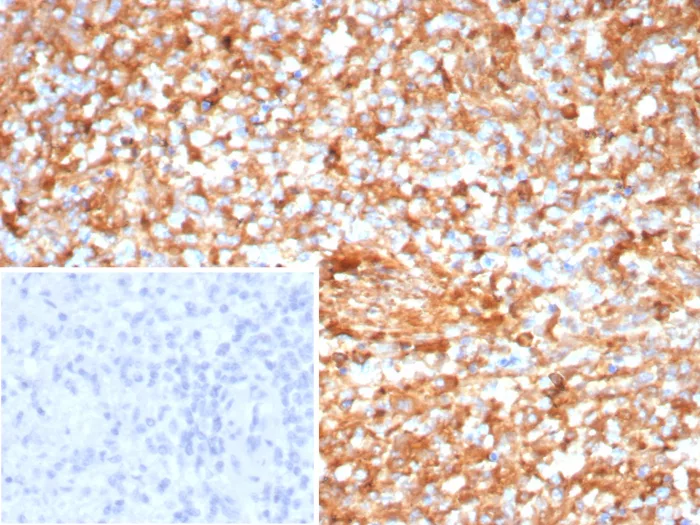
Formalin-fixed, paraffin-embedded human spleen stained with ICOS-L Mouse Monoclonal Antibody (ICOSL/7700). Inset: PBS instead of primary antibody; secondary only negative control.

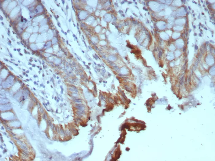
Formalin-fixed, paraffin-embedded human colon carcinoma stained with ICOS-L Mouse Monoclonal Antibody (ICOSL/7700). HIER: Tris/EDTA, pH9.0, 45min. 2°C: HRP-polymer, 30min. DAB, 5min.
This MAb recognizes a protein of 36kDa, identified as ICOS-L. It is a ligand for the ICOS receptor that initiates T and B cell proliferation and cytokine secretion. ICOS-L interactions play an essential role in T cell-dependent B cell activation in peripheral lymphoid organs such as spleen and lymph nodes. ICOS-L protein is present in myeloid leukocytes, and by Northern blot there are 2.4, 3.0, and 7.0 kb transcripts in brain, heart, kidney, and liver, with lower expression in colon and thymus, and a 1.1 kb transcript in leukocytes. Tumor necrosis factor alpha (TNFα), granulocyte-macrophage colony-stimulating factor (GM-CSF) and interleukin-4 (IL-4) enhance its expression. LPS-induced up-regulation of ICOS-L is dependent on the MyD88-dependent signaling pathway.
There are no reviews yet.