
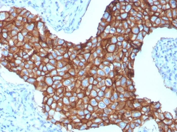
Formalin-fixed, paraffin-embedded human breast carcinoma stained with HER-2 Monospecific Mouse Monoclonal Antibody (ERBB2/3257).

Formalin-fixed, paraffin-embedded human breast carcinoma stained with HER-2 Mouse Monospecific Monoclonal Antibody (ERBB2/3257).

SDS-PAGE Analysis Purified HER-2 Monospecific Mouse Monoclonal Antibody (ERBB2/3257). Confirmation of Purity and Integrity of Antibody.

Flow cytometric analysis of PFA-fixed MCF-7 cells using HER-2 Recombinant Rabbit Monoclonal Antibody (ERBB2/3257) followed by goat anti-rabbit IgG-CF488 (red); isotype control (blue).

Analysis of Protein Array containing more than 19,000 full-length human proteins using HER-2 Monospecific Mouse Monoclonal Antibody (ERBB2/3257). Z- and S- Score: The Z-score represents the strength of a signal that a monoclonal antibody (MAb) (in combination with a fluorescently-tagged anti-IgG secondary antibody) produces when binding to a particular protein on the HuProtTM array. Z-scores are described in units of standard deviations (SD's) above the mean value of all signals generated on that array. If targets on HuProtTM are arranged in descending order of the Z-score, the S-score is the difference (also in units of SD's) between the Z-score. S-score therefore represents the relative target specificity of a MAb to its intended target. A MAb is considered to specific to its intended target, if the MAb has an S-score of at least 2.5. For example, if a MAb binds to protein X with a Z-score of 43 and to protein Y with a Z-score of 14, then the S-score for the binding of that MAb to protein X is equal to 29.
Recognizes a protein of 185kDa, which is identified as c-erbB-2/HER-2/neu. Its epitope is localized in the extracellular domain. C-erbB-2/HER-2 is a member of the EGFR family. This MAb is specific and shows minimal cross-reaction with other members of the EGFR-family. Receptors of this family are located on the plasma membrane and consist of an extracellular ligand-binding domain that is connected to a large intracellular domain by a single transmembrane sequence. c-erbB-2/HER-2 protein is over-expressed in a variety of carcinomas especially those of breast and ovary.
There are no reviews yet.