
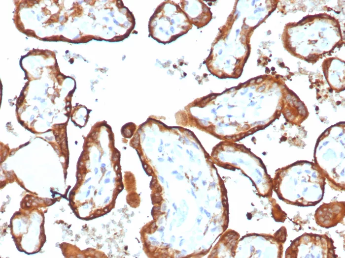
Formalin-fixed, paraffin-embedded human placenta stained with HCG-alpha Rabbit Recombinant Monoclonal Antibody (HCGa/7806R). Inset: PBS instead of primary antibody; secondary only negative control.
Human chorionic gonadotropin antibody (hCG) is a glycoprotein hormone synthesized in syncytiotrophoblastic cells of placenta and in certain trophoblastic tumors. The hormone-specific alpha chains have molecular weights of 13 kDa. HCG is found in moles and choriocarcinoma, chorionic components of germ cell tumors, and syncytiotrophoblast like cells in seminoma/dysgerminoma and embryonal carcinoma. In diagnostic pathology, hCG is a useful marker for classification of germ cell tumors, identification of extragonadal germ cell tumors.
There are no reviews yet.