HCG-alpha (Pregnancy & Choriocarcinoma Marker) Antibody [hCGa/7873]

In Stock
Catalog Number Formulation Size Price
1081-MSM13-P0
Purified Ab with BSA and Azide at 200ug/ml
20ug
$259.00
1081-MSM13-P1
Purified Ab with BSA and Azide at 200ug/ml
100ug
$559.00
1081-MSM13-P1ABX
Purified Ab WITHOUT BSA and Azide at 1.0mg/ml
100ug
$559.00
Flat Rate Domestic: $95 | Orders outside the US - Contact Us for Order Information | Ships next business day

Applications & Dilutions

Applications Tested Dillution Protocol Note
Immunohistochemistry (IHC)
1-2ug/ml
30 min at RT. Staining of formalin-fixed tissues requires heating tissue sections in 10mM Tris with 1mM EDTA, pH 9.0, for 45 min at 95°C followed by cooling at RT for 20 minutes

Summary

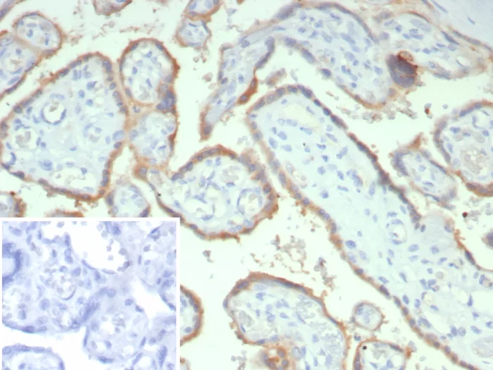
Human chorionic gonadotropin antibody (hCG) is a glycoprotein hormone synthesized in syncytiotrophoblastic cells of placenta and in certain trophoblastic tumors. The hormone-specific alpha chains have molecular weights of 13 kDa. HCG is found in moles and choriocarcinoma, chorionic components of germ cell tumors, and syncytiotrophoblast like cells in seminoma/dysgerminoma and embryonal carcinoma. In diagnostic pathology, hCG is a useful marker for classification of germ cell tumors, identification of extragonadal germ cell tumors.

Product Properties & Targets

Antibody Type
Host
Mouse
Applications
Species Reactivity
Isotype / Light Chain
IgG1 / Kappa
Cellular Localization
Cytoplasm, Secreted
Gene Name
CGA
Positive Control
Human placenta.
Immunogen
Recombinant fragment (around aa1-116) of human hCG alpha protein (exact sequence is proprietary)
Alternate Names
Glycoprotein hormones alpha chain, Anterior pituitary glycoprotein hormones common subunit alpha, Choriogonadotropin alpha chain, Chorionic gonadotrophin subunit alpha, Follicle-stimulating hormone alpha chain, Follitropin alpha chain, Luteinizing hormone alpha chain, Lutropin alpha chain, Thyroid-stimulating hormone alpha chain, Thyrotropin alpha chain, CG-alpha; CGA; Chorionic Gonadotrophin Alpha; Follicle Stimulating Hormone Alpha; Follitropin Alpha; FSH-alpha; FSHA; GPH Alpha; GPHA1; LHA; LH-alpha; Luteinizing Hormone Alpha; Lutropin Alpha; Thyroid Stimulating Hormone Alpha; Thyrotropin Alpha; TSHA

Database Links

Entrez Gene ID
SwissProt

Additional Information

Clone
hCGa/7873
Chromosome Location
6q12-q21
Mol. Weight of Antigen
13kDa

Functions

  • Shared alpha chain of the active heterodimeric glycoprotein hormones thyrotropin/thyroid stimulating hormone/TSH, lutropin/luteinizing hormone/LH, follitropin/follicle stimulating hormone/FSH and choriogonadotropin/CG. These hormones bind specific receptors on target cells that in turn activate downstream signaling pathways.

Key References

  • Cocquebert M et. al. Am J Physiol Endocrinol Metab. 2012;303(8):E950-8.

Storage & Stability

Antibody with azide - store at 2 to 8°C. Antibody without azide - store at -20 to -80°C.Antibody is stable for 24 months. Non-hazardous. No MSDS required.

Limitations

This antibody is available for research use only and is not approved for use in diagnosis.

Supplied as

200ug/ml of Ab purified from Bioreactor Concentrate by Protein A/G. Prepared in 10mM PBS with 0.05% BSA & 0.05% azide. Also available WITHOUT BSA & azide at 1.0mg/ml.

Warranty

There are no warranties, expressed or implied, which extend beyond this description. Company is not liable for any personal injury or economic loss resulting from this product.

Reviews

There are no reviews yet.

Be the first to review “HCG-alpha (Pregnancy & Choriocarcinoma Marker) Antibody”

Your email address will not be published. Required fields are marked *

PARTNERSHIP OPPORTUNITIES

NeoBiotechnologies holds Exclusive rights to 10,000 recombinant and hybridoma antibody products, available for Licensing or Collaboration.

LETS TALK