
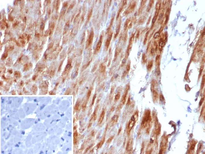
Formalin-fixed, paraffin-embedded human heart muscle stained with Desmin Rabbit Recombinant Monoclonal Antibody (DES/8610R). Inset: PBS instead of primary antibody; secondary only negative control.

SDS-PAGE Analysis of Purified Desmin Rabbit Recombinant Monoclonal Antibody (DES/8610R). Confirmation of Purity and Integrity of Antibody.
Cytoskeletal intermediate filaments (IFs) constitute a diverse group of proteins that are expressed in a highly tissue-specific manner. IFs are constructed from two-chain α-helical coiled-coil molecules arranged on an imperfect helical lattice, and have been widely used as markers for distinguishing individual cell types within a tissue and identifying the origins of metastatic tumors. Vimentin is an IF general marker of cells originating in the mesenchyme. Vimentin and Desmin, a related class III IF, are both expressed during skeletal muscle development. Desmin, a 469 amino acid protein found near the Z line in sarcomeres, is expressed more frequently in adult differentiated state tissues. Anti-desmin detects cells of normal smooth, skeletal, and cardiac muscles. �Antibody reacts with leiomyomas, leiomyosarcoma, rhabdomyomas, rhabdomyosarcoma, and perivascular cells of glomus tumors of the skin. �
There are no reviews yet.