
SDS-PAGE Analysis Purified Desmin Mouse Monoclonal Antibody (DES/3255). Confirmation of Purity and Integrity of Antibody.

Formalin-fixed, paraffin-embedded human skeletal muscle stained with Desmin Mouse Monoclonal Antibody (DES/3255) at 2ug/ml. Inset: PBS instead of primary antibody; secondary only negative control.

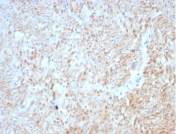
Formalin-fixed, paraffin-embedded human prostate stained with Desmin Mouse Monoclonal Antibody (DES/3255) at 2ug/ml. HIER: Tris/EDTA, pH9.0, 45min. 2 °: HRP-polymer, 30min. DAB, 5min.

Formalin-fixed, paraffin-embedded human cardiac muscle stained with Desmin Mouse Monoclonal Antibody (DES/3255) at 2ug/ml. HIER: Tris/EDTA, pH9.0, 45min. 2 °: HRP-polymer, 30min. DAB, 5min.

Formalin-fixed, paraffin-embedded cat smooth muscle stained with Desmin Mouse Monoclonal Antibody (DES/3255) at 2ug/ml. HIER: Tris/EDTA, pH9.0, 45min. 2 °: HRP-polymer, 30min. DAB, 5min.

Formalin-fixed, paraffin-embedded dog smooth muscle stained with Desmin Mouse Monoclonal Antibody (DES/3255) at 2ug/ml. HIER: Tris/EDTA, pH9.0, 45min. 2 °: HRP-polymer, 30min. DAB, 5min.
Cytoskeletal intermediate filaments (IFs) constitute a diverse group of proteins that are expressed in a highly tissue-specific manner. IFs are constructed from two-chain 伪-helical coiled-coil molecules arranged on an imperfect helical lattice, and have been widely used as markers for distinguishing individual cell types within a tissue and identifying the origins of metastatic tumors. Vimentin is an IF general marker of cells originating in the mesenchyme. Vimentin and Desmin, a related class III IF, are both expressed during skeletal muscle development. Desmin, a 469 amino acid protein found near the Z line in sarcomeres, is expressed more frequently in adult differentiated state tissues. Anti-desmin detects cells of normal smooth, skeletal, and cardiac muscles.Antibody reacts with leiomyomas, leiomyosarcoma, rhabdomyomas, rhabdomyosarcoma, and perivascular cells of glomus tumors of the skin.
There are no reviews yet.