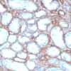
Collagen Type IV is a major component of the basement membrane and plays an important role in cell adhesion, migration, differentiation and growth. Collagen Type IV express at the basement membranes in a variety of tissues including kidney, muscle, lymph nodes, lung, tendon and spleen. Collagen Type IV has been shown to be useful in differentiating microinvasive from in situ ductal carcinomas of the breast. Other Collagen Type IV studies include use in pancreatic adenocarcinoma and chronic pancreatitis, nephrosclerosis and other kidney diseases, oral squamous cell carcinoma, laryngeal cancers, ovarian cancers and cervical cancers.
There are no reviews yet.