
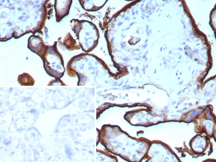
Formalin-fixed, paraffin-embedded human placenta stained with CD71 Rabbit Recombinant Monoclonal Antibody (TFRC/9106R). Inset: PBS instead of primary antibody; secondary only negative control.

Western Blot Analysis of PC-3 cell lysate using CD71 Recombinant Rabbit Monoclonal Antibody (TFRC/9106R).
It recognizes a ~90-95kDa protein which is identified as cell surface transferrin receptor (CD71), a disulfide-bonded homodimeric glycoprotein of 180-190kDa. This MAb is highly specific to CD71 and shows no cross-reaction with other related proteins. Ligand for transferrin receptor is the serum iron transport protein, transferrin. This receptor is broadly distributed in carcinomas, sarcomas, leukemias, and lymphomas. CD71/Transferrin receptor has been reported to be associated with cell proliferation in both normal and neoplastic tissues and useful in predicting clinical behavior or response to therapy in a number of malignancies including breast cancer.
There are no reviews yet.