
SDS-PAGE Analysis Purified CD71 Mouse Monoclonal antibody (TFRC/3630). Confirmation of Purity and Integrity of Antibody.

Formalin-fixed, paraffin-embedded human tonsil stained with CD71 Mouse Monoclonal Antibody (TFRC/3630). HIER: Tris/EDTA, pH9.0, 45min. 2 °: HRP-polymer, 30min. DAB, 5min.

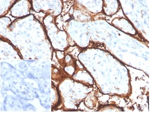
Formalin-fixed, paraffin-embedded human placenta stained with CD71 Mouse Monoclonal Antibody (TFRC/3630). Inset: PBS instead of primary antibody; secondary only negative control.

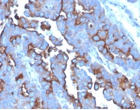
Formalin-fixed, paraffin-embedded human prostate carcinoma stained with CD71 Mouse Monoclonal Antibody (TFRC/3630) at 2ug/ml. HIER: Tris/EDTA, pH9.0, 45min. 2 °: HRP-polymer, 30min. DAB, 5min.

Western blot analysis of THP-1 and Jurkat cell lysates using CD71 Mouse Monoclonal Antibody (TFRC/3630).

Analysis of Protein Array containing >19,000 full-length human proteins using CD71 / TFRC Monospecific Mouse Monoclonal Antibody (TFRC/3630). Z- and S- Score: The Z-score represents the strength of a signal that a monoclonal antibody (MAb) (in combination with a fluorescently-tagged anti-IgG secondary antibody) produces when binding to a particular protein on the HuProtTM array. Z-scores are described in units of standard deviations (SD's) above the mean value of all signals generated on that array. If targets on HuProtTM are arranged in descending order of the Z-score, the S-score is the difference (also in units of SD's) between the Z-score. S-score therefore represents the relative target specificity of a MAb to its intended target. A MAb is considered to specific to its intended target, if the MAb has an S-score of at least 2.5. For example, if a MAb binds to protein X with a Z-score of 43 and to protein Y with a Z-score of 14, then the S-score for the binding of that MAb to protein X is equal to 29.
It recognizes a ~90-95kDa protein which is identified as cell surface transferrin receptor (CD71), a disulfide-bonded homodimeric glycoprotein of 180-190kDa (Workshop IV). This MAb is highly specific to CD71 and shows no cross-reaction with other related proteins. Ligand for transferrin receptor is the serum iron transport protein, transferrin. This receptor is broadly distributed in carcinomas, sarcomas, leukemias, and lymphomas. CD71/Transferrin receptor has been reported to be associated with cell proliferation in both normal and neoplastic tissues and useful in predicting clinical behavior or response to therapy in a number of malignancies including breast cancer.
There are no reviews yet.