
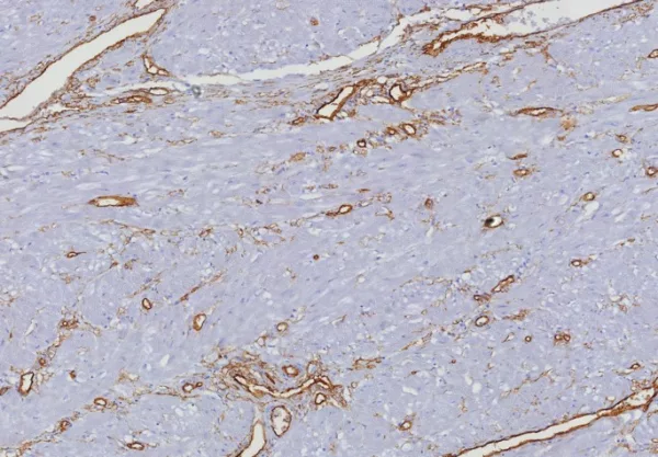
Formalin-fixed, paraffin-embedded human uterus stained with CD34 Rabbit Recombinant Monoclonal Antibody (HPCA1/8333R). HIER: Tris/EDTA, pH9.0, 45min. 2°C: HRP-polymer, 30min. DAB, 5min.
CD34 (also named myeloid progenitor cell antigen) is a heavily glycosylated type I transmembrane protein. There are two forms of the CD34 protein, resulting from alternative splicing. The functions of CD34 is largely unknown, but recent evidence suggests a role for CD34 in cell adhesion and inhibition of hematopoiesis. It is suggested that CD34 is a signaling molecule involved in maintenance of a phenotypically plastic state in undifferentiated cells. CD34 is found in most endothelia, expressed on the luminal surface and membrane processes interdigitating between endothelial cells, but is absent from large veins and arteries. CD34 is furthermore expressed in fibroblast-like dendritic cells in, e.g., portal tracts of the liver, Peyer's patches, and in healing wounds. In smooth muscle cells, a variable CD34 staining is found. In tumor tissues, CD34 is detected in myeloid blasts in myelodysplastic syndrome and acute myeloid leukemia in most cases as well as lymphoblasts in most cases of B-acute lymphoblastic leukemia. Mature B- and T-cell lymphomas and leukemias are CD34 negative. The majority of vascular tumors, including hemangiosarcoma and Kaposi sarcoma are CD34positive. In a panel, CD34 staining is useful for the classification of myeloid and lymphoid neoplasms as well as spindle cell neoplasms (particularly identification of gastrointestinal stromal tumor and hemangiosarcoma).
There are no reviews yet.