
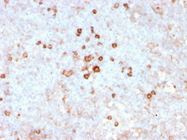
Formalin-fixed, paraffin-embedded human spleen stained with CD14 Recombinant Mouse Monoclonal Antibody (rLPSR/2408).

Formalin-fixed, paraffin-embedded human spleen stained with CD14 Recombinant Mouse Monoclonal Antibody (rLPSR/2408).

SDS-PAGE Analysis of Purified CD14 Recombinant Mouse Monoclonal Antibody (rLPSR/2408). Confirmation of Purity and Integrity of Antibody.
Recognizes a protein of 55kDa, identified as CD14 (also known lipopolysaccharide receptor). CD14 is expressed strongly on monocytes and macrophage and weakly on the surface of neutrophils. CD14 is anchored to cells by linkage to glycosylphosphatidylinositol (GPI) and functions as a high affinity receptor for complexes of LPS and LPS binding protein (LBP). Soluble CD14, also binding to LPS, acts at physiological concentration as an LPS agonist and has, at higher concentrations, an LPS antagonizing effect in cell activation.
There are no reviews yet.