
Formalin-fixed, paraffin-embedded human Lymph Node stained with CD14-Monospecific Mouse Monoclonal Antibody (LPSR/2385).

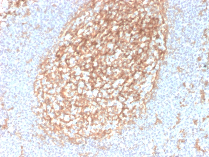
Formalin-fixed, paraffin-embedded human Tonsil stained with CD14-Monospecific Mouse Monoclonal Antibody (LPSR/2385).

SDS-PAGE Analysis Purified CD14-Monospecific Mouse Monoclonal Antibody (LPSR/2385). Confirmation of Integrity and Purity of Antibody.

Western Blot Analysis of A549 cell lysate using CD14-Monospecific Mouse Monoclonal Antibody (LPSR/2385).

Flow Cytometric Analysis of A549 cells using CD14-Monospecific Mouse Monoclonal Antibody (LPSR/2385).) followed by goat anti-Mouse IgG-CF488 (Blue); Isotype Control (Red).

Analysis of Protein Array containing more than 19,000 full-length human proteins using CD14-Monospecific Mouse Monoclonal Antibody (LPSR/2385) Z- and S- Score: The Z-score represents the strength of a signal that a monoclonal antibody (MAb) (in combination with a fluorescently-tagged anti-IgG secondary antibody) produces when binding to a particular protein on the HuProtTM array. Z-scores are described in units of standard deviations (SDÂ’s) above the mean value of all signals generated on that array. If targets on HuProtTM are arranged in descending order of the Z-score, the S-score is the difference (also in units of SDÂ’s) between the Z-score. S-score therefore represents the relative target specificity of a MAb to its intended target. A MAb is considered to specific to its intended target, if the MAb has an S-score of at least 2.5. For example, if a MAb binds to protein X with a Z-score of 43 and to protein Y with a Z-score of 14, then the S-score for the binding of that MAb to protein X is equal to 29.
Recognizes a protein of 55kDa, identified as CD14 (also known lipopolysaccharide receptor). CD14 is expressed strongly on monocytes and macrophage and weakly on the surface of neutrophils. CD14 is anchored to cells by linkage to glycosylphosphatidylinositol (GPI) and functions as a high affinity receptor for complexes of LPS and LPS binding protein (LBP). Soluble CD14, also binding to LPS, acts at physiological concentration as an LPS agonist and has, at higher concentrations, an LPS antagonizing effect in cell activation.
There are no reviews yet.