
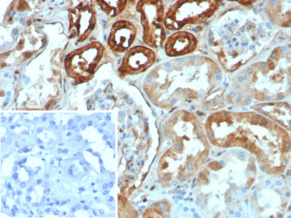
Formalin-fixed, paraffin-embedded human kidney stained with Calbindin 1 Recombinant Mouse Monoclonal Antibody (rCALB1/8499). Inset: PBS instead of primary antibody; secondary only negative control.

Formalin-fixed, paraffin-embedded human kidney stained with Calbindin 1 Recombinant Mouse Monoclonal Antibody (rCALB1/8499). HIER: Tris/EDTA, pH9.0, 45min. 2°C: HRP-polymer, 30min. DAB, 5min.
The family of EF-hand type Ca2+-binding proteins includes Calbindin D28K, Calbindin D9K, S-100 Î � and Î �, Calgranulin A (also designated MRP8), Calgranulin B (also designated MRP14), Calgranulin C and the Parvalbumin family members, including Parvalbumin Î � and Parvalbumin Î � (also designated oncomodulin). Calbindin D28K, also known as calbindin, CALB1, D-28K or vitamin D-dependent calcium-binding protein, is a 261-amino acid protein with 6 EF-hand domains, 4 of which are active calcium-binding domains. Expressed in brain, ovary, uterus, testis, pancreas, liver, kidney and intestine, Calbindin D28K acts as a calcium-buffering agent and alters the activity of the plasma membrane ATPase. In neuronal cells, Calbindin D28K modulates calcium channel activity, calcium transients and intrinsic neuronal firing activity. Also, Calbindin D28K has been implicated to play a role in apoptosis and microtubule function.
There are no reviews yet.