Recombinant Calbindin-1 / CALB1 (Neuronal Marker) Antibody [rCALB1/9805]

In Stock
Catalog Number Formulation Size Price
793-MSM8-P0
Purified Ab with BSA and Azide at 200ug/ml
20ug
$259.00
793-MSM8-P1
Purified Ab with BSA and Azide at 200ug/ml
100ug
$559.00
793-MSM8-P1ABX
Purified Ab WITHOUT BSA and Azide at 1.0mg/ml
100ug
$559.00
Flat Rate Domestic: $95 | Orders outside the US - Contact Us for Order Information | Ships next business day

Applications & Dilutions

Applications Tested Dillution Protocol Note
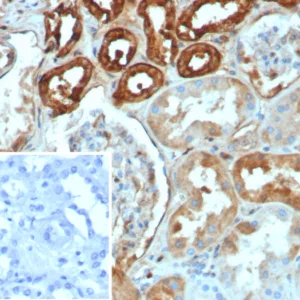
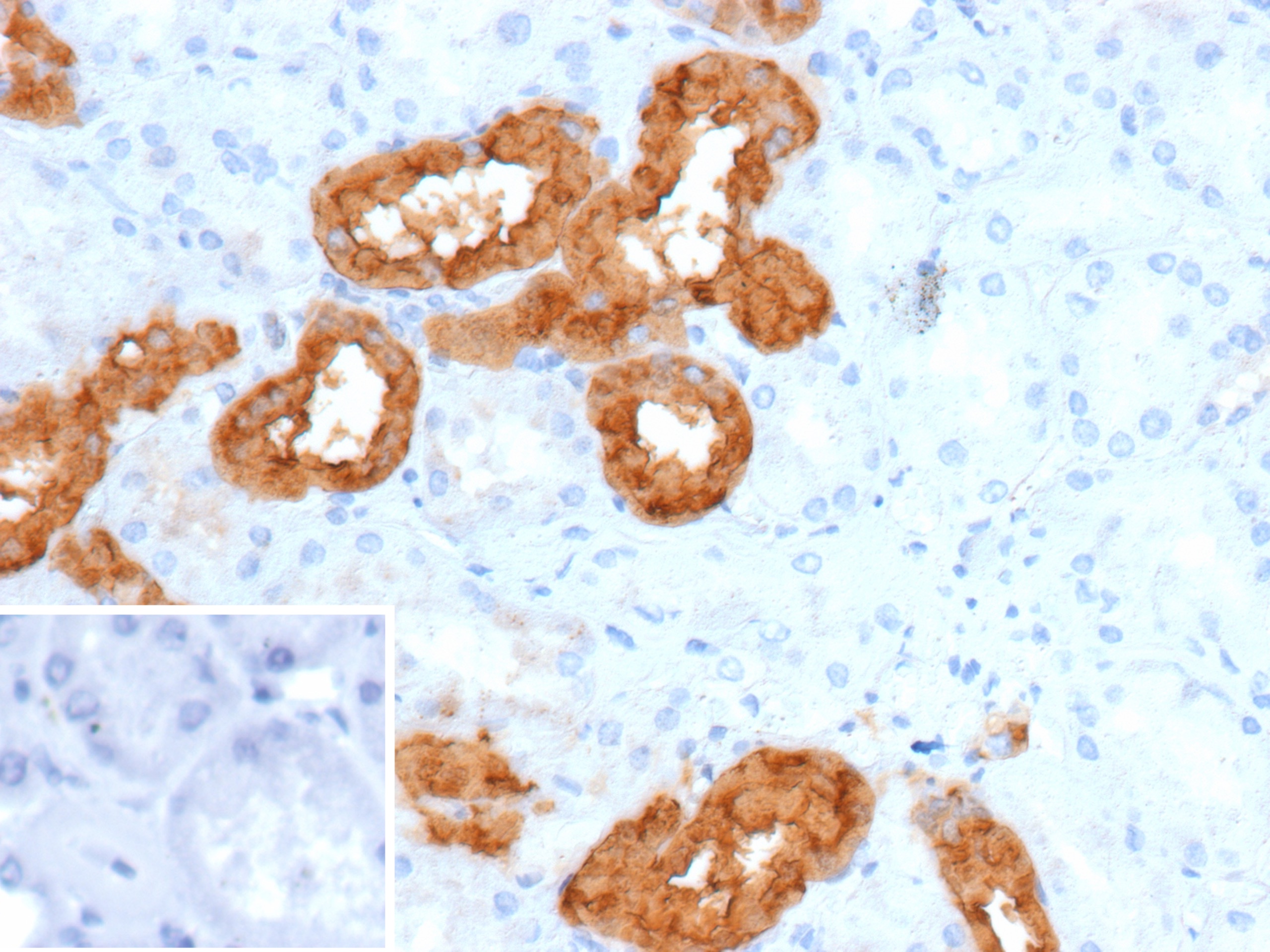
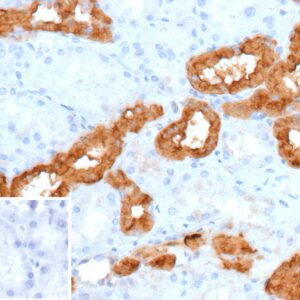
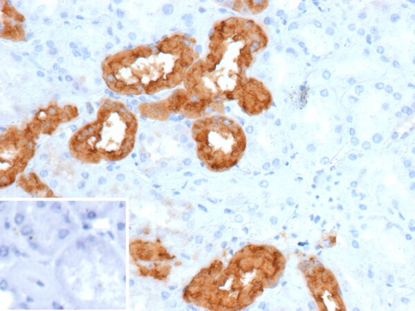
Immunohistochemistry (IHC)
1-2ug/ml
30 min at RT. Staining of formalin-fixed tissues requires heating tissue sections in 10mM Tris with 1mM EDTA, pH 9.0, for 45 min at 95°C followed by cooling at RT for 20 minutes
Western Blot (WB)
2-4ug/ml

Summary

Calbindin is a calcium-binding protein belonging to the troponin C superfamily. It functions as a buffer for cytoplasmic calcium and is found in the brain, kidney, gut and pancreatic islets. In normal brain, calbindin has been identified in medium sized neurons of the neuropil of the matrix compartment of the striatum, the woolly fiber arrangements of the globus pallidus and the fiber structures of the pars reticula of the substantia nigra. A proportion of dendritic cells within the light zone of germinal centers have also been noted to be positive for calbindin.

Product Properties & Targets

Host
Mouse
Species Reactivity
Research Areas
Isotype / Light Chain
IgG1 / Kappa
Cellular Localization
Cytoplasm
Gene Name
Positive Control
293T or HepG2 cells. Human brain, lung, pancreas or liver.
Immunogen
Recombinant fragment corresponding human CALB1 protein
Alternate Names
Calbindin, Calbindin D28, D-28K, Vitamin D-dependent calcium-binding protein, avian-type, avian-type; CAB27; CALB 1; CALB; CALB1; CALB1_HUMAN; Calbindin 1 28kDa; Calbindin; Calbindin D28; D 28K; D-28K; D28K; OTTHUMP00000166027; OTTHUMP00000225441; RTVL H protein; Vitamin D dependent calcium binding protein; Vitamin D dependent calcium binding protein avian type; Vitamin D-dependent calcium-binding protein

Database Links

Entrez Gene ID
793
SwissProt

Additional Information

Clone
rCALB1/9805
Chromosome Location
8q21.3
Mol. Weight of Antigen
28kDa
Expression System
CHO Cells

Functions

  • Buffers cytosolic calcium. May stimulate a membrane Ca(2+)-ATPase and a 3', 5'-cyclic nucleotide phosphodiesterase.

Key References

  • Parmentier, M., et al. 1989. Genomics 4: 309-319.

Storage & Stability

Antibody with azide - store at 2 to 8°C. Antibody without azide - store at -20 to -80°C. Antibody is stable for 24 months. Non-hazardous. No MSDS required.

Limitations

This antibody is available for research use only and is not approved for use in diagnosis.

Supplied as

200ug/ml of Ab purified from Bioreactor Concentrate by Protein A/G. Prepared in 10mM PBS with 0.05% BSA & 0.05% azide. Also available WITHOUT BSA & azide at 1.0mg/ml.

Warranty

There are no warranties, expressed or implied, which extend beyond this description. Company is not liable for any personal injury or economic loss resulting from this product.

Reviews

There are no reviews yet.

Be the first to review “Recombinant Calbindin-1 / CALB1 (Neuronal Marker) Antibody”

Your email address will not be published. Required fields are marked *

PARTNERSHIP OPPORTUNITIES

NeoBiotechnologies holds Exclusive rights to 10,000 recombinant and hybridoma antibody products, available for Licensing or Collaboration.

LETS TALK