
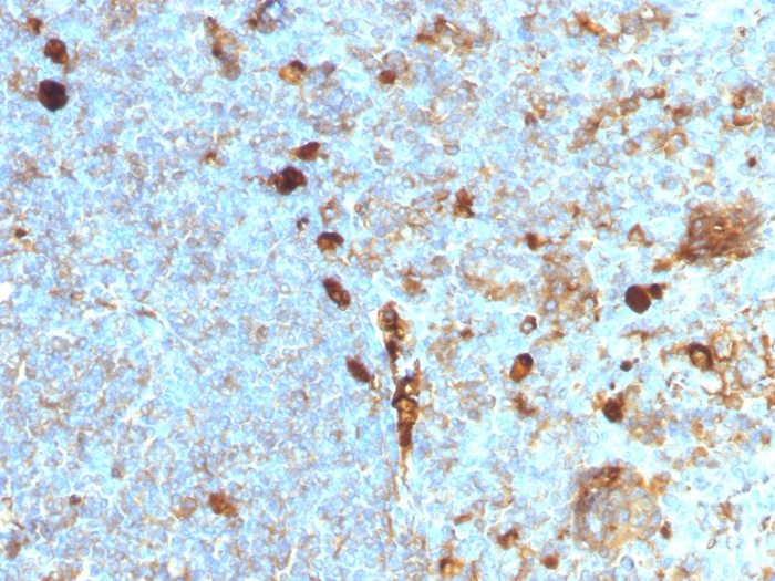
Formalin-fixed, paraffin-embedded human Tonsil stained with Alpha-1-Antitrypsin Mouse Monoclonal Antibody (AAT/1378).

Western Blot Analysis of 1) recombinant Alpha-1-Antitrypsin 2) Jurkat & 3) A549 cell lysate using Alpha-1-Antitrypsin Mouse Monoclonal Antibody (AAT/1378).

SDS-PAGE Analysis of Purified Alpha-1-Antitrypsin Mouse Monoclonal Antibody (AAT/1378). Confirmation of Integrity and Purity of Antibody
It recognizes a protein of 54kDa, which is identified antitrypsin (AAT). The immunohistochemical staining of AAT is useful in identification of benign and malignant hepatic tumors and yolk sac carcinomas. Positive staining for AAT is also used in detection of benign and malignant lesions of histiocytic nature. This antibody is may also useful tool in the screening of patients with cryptogenic cirrhosis or other forms of liver disease with fibrosis of uncertain origin.
There are no reviews yet.