TP53 Antibodies

The tumor protein p53 (P53 or TP53) has a molecular weight of  approximately 53 kDa. This protein is expressed in various cell types throughout the body. This protein plays a crucial role in response to cellular stress and damage by regulating the cell cycle and preventing tumor formation.

P53 is often referred to as the “guardian of the genome” because of its critical role in maintaining genomic stability. It helps prevent the development of cancer by promoting the repair of damaged DNA or triggering apoptosis in cells with irreparable damage.

Mutations in the TP53 gene are associated with a variety of cancers, including breast cancer, colorectal cancer, lung cancer, and many others. Li-Fraumeni syndrome, a rare genetic disorder, is characterized by a high predisposition to cancer and is often associated with these mutations.

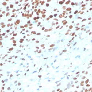
Antibodies against p53 are widely used in research and diagnostics. In cancer research, these antibodies can help identify the presence of mutant or overexpressed proteins in tumor tissues. They are used in immunohistochemistry (IHC) and other techniques to visualize and quantify its expression. The detection of abnormal expressions is often used in cancer diagnosis and prognosis. In some cases, the presence of mutant p53 may influence treatment decisions.

Synonyms

Cellular tumor antigen p53, Antigen NY-CO-13, Phosphoprotein p53, Tumor suppressor p53, Antigen NY-CO-13, BCC7, Cellular Tumor Antigen p53, LFS1, TP53, Transformation Related Protein 53 (TRP53)

Research Areas

Breast Cancer, Cardiovascular, Immunology, AKT Signaling, Bladder Cancer, Colon Cancer, Cytokine Signaling, Defective Intrinsic Apoptosis, Infectious Disease, Lung Cancer, MAPK Signaling, Nuclear Marker, Ovarian Cancer, Signal Transduction, Transcription Factors

TP53

PARTNERSHIP OPPORTUNITIES

NeoBiotechnologies holds Exclusive rights to 10,000 recombinant and hybridoma antibody products, available for Licensing or Collaboration.

LETS TALK