
SDS-PAGE Analysis PurifiedTUBB3 Mouse Recombinant Monoclonal Antibody (rTUBB3/7405 ). Confirmation of Purity and Integrity of Antibody.

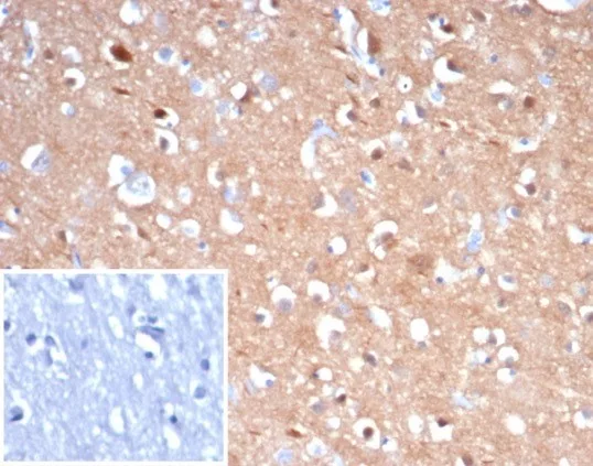
Formalin-fixed, paraffin-embedded human brain stained with Tubulin beta 3 Recombinant Mouse Monoclonal Antibody (rTUBB3/7405). Inset: PBS instead of primary antibody; secondary only negative control.
This gene encodes a class III member of the beta tubulin protein family. Beta tubulins are one of two core protein families (alpha and beta tubulins) that heterodimerize and assemble to form microtubules. This protein is primarily expressed in neurons and may be involved in neurogenesis and axon guidance and maintenance. Mutations in this gene are the cause of congenital fibrosis of the extraocular muscles type 3. �In adults, tubulin beta 3 (TUBB3) is primarily expressed in neurons and is commonly used as a neuronal marker. It plays an important role in neuronal cell proliferation and differentiation.
There are no reviews yet.