Recombinant Transcription factor E3 �/ TFE3 (Transcription Factor) Antibody [TFE3/8663R]

In Stock
Catalog Number Formulation Size Price
7030-RBM3-P0
Purified Ab with BSA and Azide at 200ug/ml
20ug
$259.00
7030-RBM3-P1
Purified Ab with BSA and Azide at 200ug/ml
100ug
$559.00
7030-RBM3-P1ABX
Purified Ab WITHOUT BSA and Azide at 1.0mg/ml
100ug
$559.00
Flat Rate Domestic: $95 | Orders outside the US - Contact Us for Order Information | Ships next business day

Applications & Dilutions

Applications Tested Dillution Protocol Note
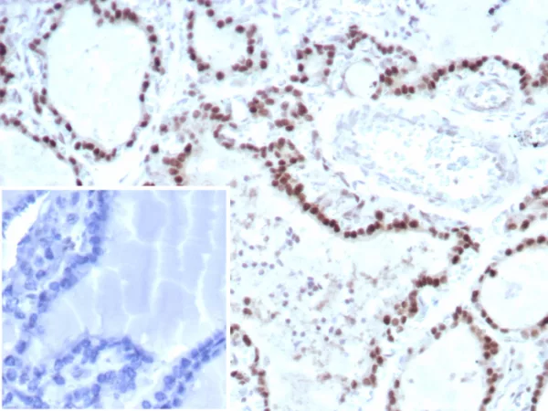
Immunohistochemistry (IHC)
1-2ug/ml
30 min at RT. Staining of formalin-fixed tissues requires heating tissue sections in 10mM Tris with 1mM EDTA, pH 9.0, for 45 min at 95°C followed by cooling at RT for 20 minutes

Summary

Transcription factor E3 (TFE3) belongs to the basic helix-loop-helix zipper transcription factor family. �The TFE3 gene is located on the short arm of the X chromosome, is expressed in various cells of the human body, and participates in the regulation of various genes. �The rearrangement of this gene is associated with a variety of tumors, and it is highly expressed in acinar soft tissue sarcoma with TFE3 fusion gene, Xp11.2 translocation/TFE3 gene fusion-related renal cell carcinoma, and in perivascular epithelioid cell tumors. positive expression.

Product Properties & Targets

Host
Rabbit
Applications
Species Reactivity
Research Areas
Isotype / Light Chain
IgG / Kappa
Cellular Localization
Nucleus.
Gene Name
Positive Control
MiT family translocated renal cell carcinoma. Ubiquitous mainly nuclear expression.
Immunogen
Recombinant full-length human TFE3 protein
Alternate Names
Transcription factor E3, Class E basic helix-loop-helix protein 33, NBLST2; NBPhox; Neuroblastoma paired type homeobox protein; Paired mesoderm homeobox protein 2B; Paired-like homeobox 2B; PHOX2B homeodomain protein; PMX2B

Database Links

Entrez Gene ID
SwissProt

Additional Information

Clone
TFE3/8663R
Chromosome Location
Xp11.22
Mol. Weight of Antigen
62kDa

Functions

  • Transcription factor that acts as a master regulator of lysosomal biogenesis and immune response (PubMed:2338243, PubMed:29146937, PubMed:30733432, PubMed:31672913). Specifically recognizes and binds E-box sequences (5'-CANNTG-3'); efficient DNA-binding requires dimerization with itself or with another MiT/TFE family member such as TFEB or MITF (By similarity). Involved in the cellular response to amino acid availability by acting downstream of MTOR: in the presence of nutrients, TFE3 phosphorylation by MTOR promotes its cytosolic retention and subsequent inactivation (PubMed:31672913). Upon starvation or lysosomal stress, inhibition of MTOR induces TFE3 dephosphorylation, resulting in nuclear localization and transcription factor activity (PubMed:31672913). Maintains the pluripotent state of embryonic stem cells by promoting the expression of genes such as ESRRB; mTOR-dependent TFE3 cytosolic retention and inactivation promotes exit from pluripotency (By similarity). Required to maintain the naive pluripotent state of hematopoietic stem cell; mTOR-dependent cytoplasmic retention of TFE3 promotes the exit of hematopoietic stem cell from pluripotency (PubMed:30733432). TFE3 activity is also involved in the inhibition of neuronal progenitor differentiation (By similarity). Acts as a positive regulator of browning of adipose tissue by promoting expression of target genes; mTOR-dependent phosphorylation promotes cytoplasmic retention of TFE3 and inhibits browning of adipose tissue (By similarity). In association with TFEB, activates the expression of CD40L in T-cells, thereby playing a role in T-cell-dependent antibody responses in activated CD4(+) T-cells and thymus-dependent humoral immunity (By similarity). Specifically recognizes the MUE3 box, a subset of E-boxes, present in the immunoglobulin enhancer (PubMed:2338243). It also binds very well to a USF/MLTF site (PubMed:2338243). May regulate lysosomal positioning in response to nutrient deprivation by promoting the expression of PIP4P1 (PubMed:29146937).

Key References

  • Miller, AJ et al. (2005) J Biol Chem 280, 146-55.

Storage & Stability

Antibody with azide - store at 2 to 8°C. Antibody without azide - store at -20 to -80°C. Antibody is stable for 24 months. Non-hazardous. No MSDS required.

Limitations

This antibody is available for research use only and is not approved for use in diagnosis.

Supplied as

200ug/ml of Ab purified from Bioreactor Concentrate by Protein A/G. Prepared in 10mM PBS with 0.05% BSA & 0.05% azide. Also available WITHOUT BSA & azide at 1.0mg/ml.

Warranty

There are no warranties, expressed or implied, which extend beyond this description. Company is not liable for any personal injury or economic loss resulting from this product.

Reviews

There are no reviews yet.

Be the first to review “Recombinant Transcription factor E3 �/ TFE3 (Transcription Factor) Antibody”

Your email address will not be published. Required fields are marked *

PARTNERSHIP OPPORTUNITIES

NeoBiotechnologies holds Exclusive rights to 10,000 recombinant and hybridoma antibody products, available for Licensing or Collaboration.

LETS TALK