Recombinant SOX2 (Embryonic Stem Cell Marker) Antibody [rSOX2/1791]

In Stock
Catalog Number Formulation Size Price
6657-MSM4-P0
Purified Ab with BSA and Azide at 200ug/ml
20ug
$259.00
6657-MSM4-P1
Purified Ab with BSA and Azide at 200ug/ml
100ug
$559.00
6657-MSM4-P1ABX
Purified Ab WITHOUT BSA and Azide at 1.0mg/ml
100ug
$559.00
Flat Rate Domestic: $95 | Orders outside the US - Contact Us for Order Information | Ships next business day

Applications & Dilutions

Applications Tested Dillution Protocol Note
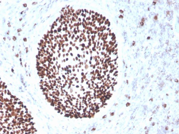
Immunohistochemistry (IHC)
1-2ug/ml
30 min at RT. Staining of formalin-fixed tissues requires heating tissue sections in 10mM Tris with 1mM EDTA, pH 9.0, for 45 min at 95°C followed by cooling at RT for 20 minutes
Western Blot (WB)
2-4ug/ml

Summary

SOX2 is required for stem cell maintenance in the central nervous system, and it also regulates gene expression in the stomach. SOX2 is necessary for regulating multiple transcription factors that affect Oct 3/4 expression. An essential function of SOX2 is to stabilize embryonic stem cells in a pluripotent state by maintaining the requisite level of Oct 3/4 expression. Reportedly, SOX2 is associated with aggressive phenotypes of breast, head and neck, gastric, colorectal, bladder, and small cell lung cancers. However, SOX2 is expressed in a high percentage of lung squamous cell carcinomas and has been shown to be an independent favorable prognostic marker.

Product Properties & Targets

Host
Mouse
Species Reactivity
Isotype / Light Chain
IgG1 / Kappa
Cellular Localization
Cytoplasm, Nucleus, Nucleus speckle
Gene Name
Positive Control
A549, NCCIT cells. Human lung or cervical carcinoma.
Immunogen
Recombinant fragment (within aa176-305) of human SOX2 protein (exact sequence is proprietary)
Alternate Names
Transcription factor SOX-2, ANOP3; Delta EF2a; MCOPS3 (Microphthalmia Syndromic type 3); SOX-2; SRY (sex determining region Y) box 2; SRY related HMG box 2; Transcription factor SOX-2; ysb

Database Links

Entrez Gene ID
SwissProt

Additional Information

Clone
rSOX2/1791
Chromosome Location
3q26.33
Mol. Weight of Antigen
34kDa

Functions

  • Transcription factor that forms a trimeric complex with OCT4 on DNA and controls the expression of a number of genes involved in embryonic development such as YES1, FGF4, UTF1 and ZFP206 (By similarity). Binds to the proximal enhancer region of NANOG (By similarity). Critical for early embryogenesis and for embryonic stem cell pluripotency (PubMed:18035408). Downstream SRRT target that mediates the promotion of neural stem cell self-renewal (By similarity). Keeps neural cells undifferentiated by counteracting the activity of proneural proteins and suppresses neuronal differentiation (By similarity). May function as a switch in neuronal development (By similarity).

Key References

  • Laudet, V., et al, H. 1993. Nucleic Acids Res. 21: 2493-2501

Storage & Stability

Antibody with azide - store at 2 to 8°C. Antibody without azide - store at -20 to -80°C. Antibody is stable for 24 months. Non-hazardous. No MSDS required.

Limitations

This antibody is available for research use only and is not approved for use in diagnosis.

Supplied as

200ug/ml of Ab Purified from Bioreactor Concentrate by Protein A/G. Prepared in 10mM PBS with 0.05% BSA & 0.05% azide. Also available WITHOUT BSA & azide at 1.0mg/ml.

Warranty

There are no warranties, expressed or implied, which extend beyond this description. Company is not liable for any personal injury or economic loss resulting from this product.

Reviews

There are no reviews yet.

Be the first to review “Recombinant SOX2 (Embryonic Stem Cell Marker) Antibody”

Your email address will not be published. Required fields are marked *

PARTNERSHIP OPPORTUNITIES

NeoBiotechnologies holds Exclusive rights to 10,000 recombinant and hybridoma antibody products, available for Licensing or Collaboration.

LETS TALK