
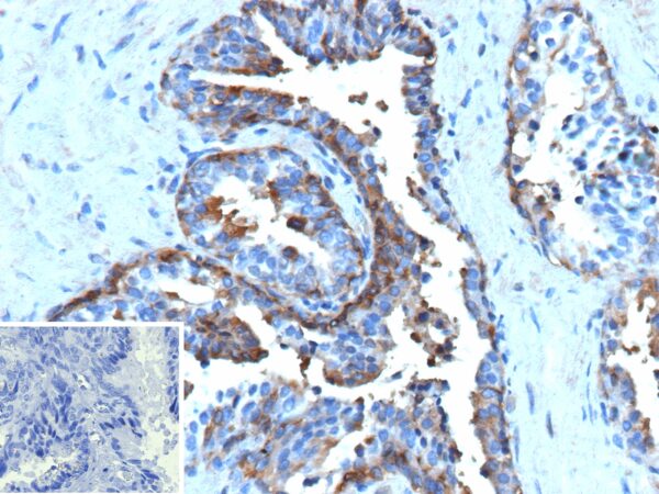
Formalin-fixed, paraffin-embedded human prostate stained with HSP27 / HSPB1 Recombinant Mouse Monoclonal Antibody (r2B4). Inset: PBS instead of primary antibody; secondary only negative control.

SDS-PAGE Analysis of Purified HSP27 / HSPB1 Recombinant Mouse Monoclonal Antibody (r2B4). Confirmation of Purity and Integrity of Antibody.
HSP27, also referred to as the Estrogen-Regulated 24K protein and HSP28, is one of several small heat shock proteins produced by all organisms studied. HSP27 synthesis is induced by elevated temperature, as well as by estrogen in hormone responsive cells. Interestingly, human HSP27 also shares greater than 50% homology with low molecular weight Drosophila HSPs and mammalian α-crystalline lens protein. Because of the estrogen responsive nature of HSP27, this protein has been studied extensively in human estrogen responsive tissues such as cervix, endometrium and breast tissue. Therefore, HSP27 may be useful in classifying various hormone sensitive tumors.
There are no reviews yet.