
SDS-PAGE Analysis Purified HSP27 Mouse Monoclonal Antibody (CPTC-HSPB1-2). Confirmation of Purity and Integrity of Antibody

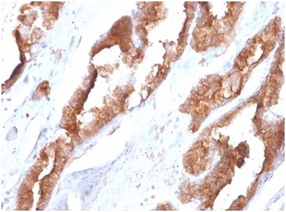
Formalin-fixed, paraffin-embedded human prostate stained with HSP27 Mouse Monoclonal Antibody (CPTC-HSPB1-2).

Immunofluorescence analysis of PFA-fixed MCF-7 cells using HSP27 Mouse Monoclonal Antibody (CPTC-HSPB1-2) followed bygoat anti-mouse IgG-CF488 (green). Nuclei stained with RedDot.

Flow cytometric analysis of PFA-fixed MCF-7 cells using HSP27 Mouse Monoclonal Antibody (CPTC-HSPB1-2) followed by goat anti-mouse IgG-CF488 (blue); isotype control (red).

Western blot analysis of human liver tissue lysate using HSP27 Mouse Monoclonal Antibody (CPTC-HSPB1-2).

Analysis of Protein Array containing more than 19,000 full-length human proteins using HSP27 Mouse Monoclonal Antibody (CPTC-HSPB1-2). Z- and S- Score: The Z-score represents the strength of a signal that a monoclonal antibody (MAb) (in combination with a fluorescently-tagged anti-IgG secondary antibody) produces when binding to a particular protein on the HuProtTM array. Z-scores are described in units of standard deviations (SD's) above the mean value of all signals generated on that array. If targets on HuProtTM are arranged in descending order of the Z-score, the S-score is the difference (also in units of SD's) between the Z-score. S-score therefore represents the relative target specificity of a MAb to its intended target. A MAb is considered to be specific to its intended target, if the MAb has an S-score of at least 2.5. For example, if a MAb binds to protein X with a Z-score of 43 and to protein Y with a Z-score of 14, then the S-score for the binding of that MAb to protein X is equal to 29.
HSP27, also referred to as the Estrogen-Regulated 24K protein and HSP28, is one of several small heat shock proteins produced by all organisms studied. HSP27 synthesis is induced by elevated temperature, as well as by estrogen in hormone responsive cells. Interestingly, human HSP27 also shares greater than 50% homology with low molecular weight Drosophila HSPs and mammalian 伪-crystalline lens protein. Because of the estrogen responsive nature of HSP27, this protein has been studied extensively in human estrogen responsive tissues such as cervix, endometrium and breast tissue. Therefore, HSP27 may be useful in classifying various hormone sensitive tumors.
There are no reviews yet.