
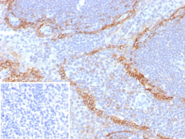
Formalin-fixed, paraffin-embedded human tonsil stained with Podoplanin Recombinant Mouse Monoclonal Antibody (rPDPN/6994). Inset: PBS instead of primary antibody; secondary only negative control.

SDS-PAGE Analysis of Purified Podoplanin Recombinant Mouse Monoclonal Antibody (rPDPN/6994). Confirmation of Integrity and Purity of Antibody.
It recognizes a muco-protein of 38-43kDa, which is identified as Podoplanin (PDPN). It localizes in stromal cells of peripheral lymphoid tissue and thymic epithelial cells. As a regulator of the lymphatic endothelium, podoplanin probably plays a role in maintaining the unique shape of podocytes. It is selectively expressed in lymphatic endothelium �as well as lymphoangiomas, �Kaposi sarcomas, �and in a subset of angiosarcomas with probable lymphatic differentiation. Recent studies have also shown podoplanin to be a highly sensitive and relatively specific marker for epithelioid mesothelioma. Therefore, it can be used in a panel to distinguish mesotheliomas or mesothelial cells from pulmonary carcinomas.
There are no reviews yet.