
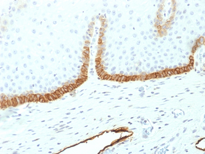
Formalin-fixed, paraffin-embedded human Cervix stained with Podoplanin-Monospecific Mouse Monoclonal Antibody (PDPN/1433)

SDS-PAGE Analysis of Purified Podoplanin-Monospecific Mouse Monoclonal Antibody (PDPN/1433). Confirmation of Integrity and Purity of Antibody.

Analysis of Protein Array containing more than 19,000 full-length human proteins using Podoplanin-Monospecific Mouse Monoclonal Antibody (PDPN/1433) Z- and S- Score: The Z-score represents the strength of a signal that a monoclonal antibody (Monoclonal Antibody) (in combination with a fluorescently-tagged anti-IgG secondary antibody) produces when binding to a particular protein on the HuProtTM array. Z-scores are described in units of standard deviations (SD’s) above the mean value of all signals generated on that array. If targets on HuProtTM are arranged in descending order of the Z-score, the S-score is the difference (also in units of SD’s) between the Z-score. S-score therefore represents the relative target specificity of a Monoclonal Antibody to its intended target. A Monoclonal Antibody is considered to specific to its intended target, if the Monoclonal Antibody has an S-score of at least 2.5. For example, if a Monoclonal Antibody binds to protein X with a Z-score of 43 and to protein Y with a Z-score of 14, then the S-score for the binding of that Monoclonal Antibody to protein X is equal to 29.
It recognizes a muco-protein of 38-43kDa, which is identified as Podoplanin (PDPN). It localizes in stromal cells of peripheral lymphoid tissue and thymic epithelial cells. As a regulator of the lymphatic endothelium, podoplanin probably plays a role in maintaining the unique shape of podocytes. It is selectively expressed in lymphatic endotheliumas well as lymphoangiomas,Kaposi sarcomas,and in a subset of angiosarcomas with probable lymphatic differentiation. Recent studies have also shown podoplanin to be a highly sensitive and relatively specific marker for epithelioid mesothelioma. Therefore, it can be used in a panel to distinguish mesotheliomas or mesothelial cells from pulmonary carcinomas.
There are no reviews yet.