
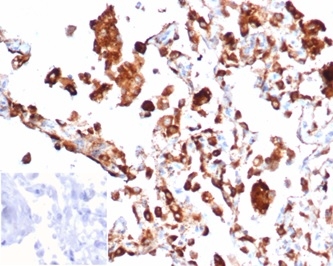
Formalin-fixed, paraffin-embedded human lung adenocarcinoma stained with Napsin A Recombinant Mouse Monoclonal Antibody (rNAPSA/6926). Inset: PBS instead of primary antibody, secondary negative control.

SDS-PAGE Analysis Purified Napsin A Recombinant Mouse Monoclonal Antibody (rNAPSA/6926). Confirmation of Integrity and Purity of Antibody.
Napsin is a pepsin-like aspartic proteinase connected with maturation of surfactant protein B.There are two closely related napsins, napsin A and napsin B. Napsin A is expressed as a single chain protein. Immunohistochemical studies revealed high expression levels of napsin A in human lung and kidney but low expression in spleen. Napsin A is expressed in type II pneumocytes and in adenocarcinomas of lung. The high specificity expression of napsin A in adenocarcinomas of lung is useful to distinguish primary lung adenocarcinomas from adenocarcinomas of other organs.
There are no reviews yet.