
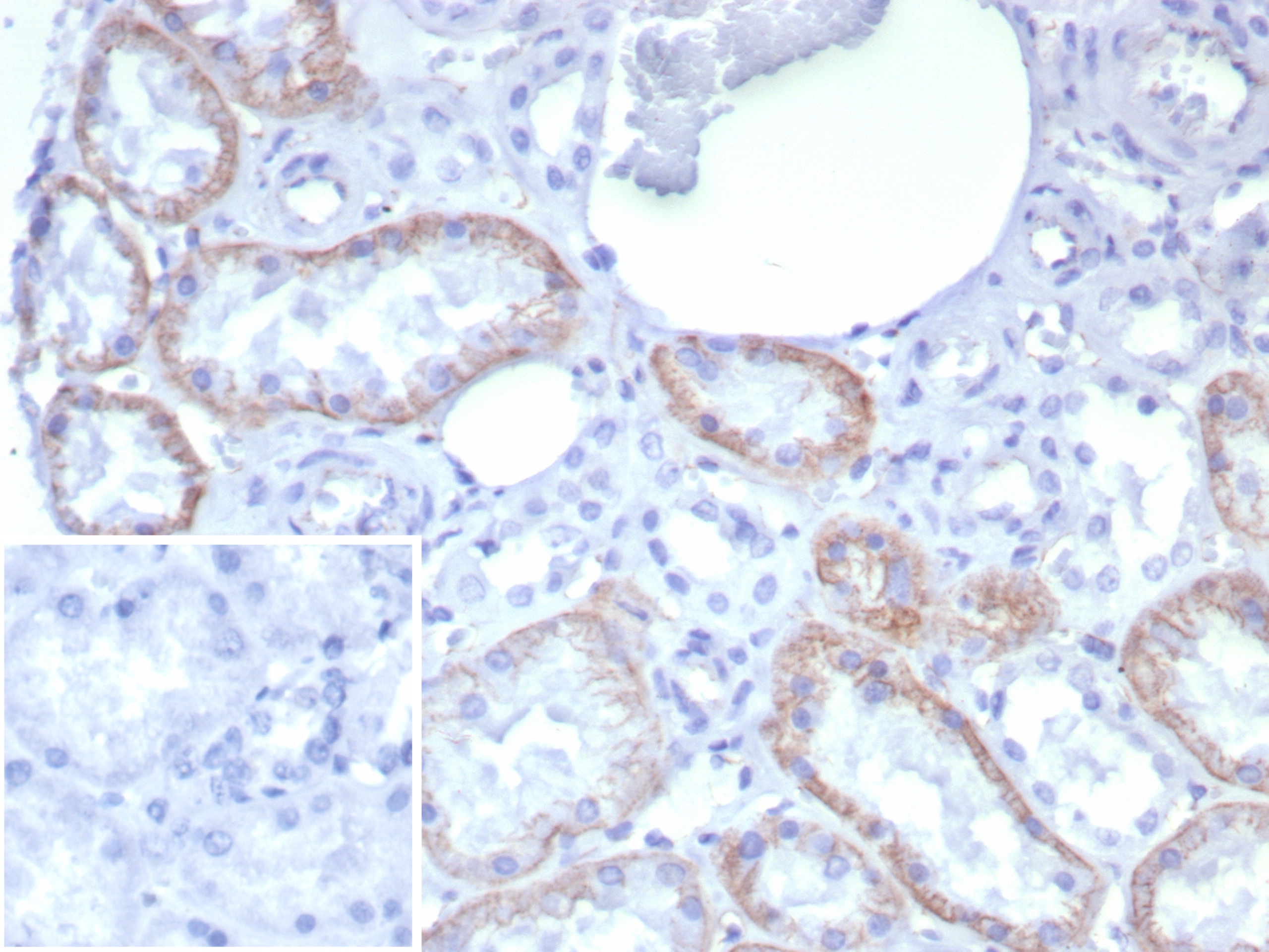
Formalin-fixed, paraffin-embedded human kidney stained with N-Cadherin Recombinant Mouse Monoclonal Antibody (rCDH2/8291). Inset: PBS instead of primary antibody; secondary only negative control.

SDS-PAGE Analysis of Purified N-CAD Recombinant Mouse Monoclonal Antibody (rCDH2/8291). Confirmation of Purity and Integrity of Antibody.
Recognizes a protein of ~140kDa, identified as N-Cadherin (NCAD), also known as CD325. NCAD is a member of the Cadherin superfamily, and consists of five extracellular repeats, a transmembrane domain and a cytoplasmic domain. CD325 deficient mice die at day 10 of gestation and embryos display major heart defects and malformed neural tubes and somites. Consistent with this, CD325 has been implicated in several aspects of cardiac development including the precardiac mesoderm, establishment of left-right symmetry and cardiac looping morphogenesis. Furthermore, CD325 is normally involved in inducing cell cycle arrest and its expression is frequently deregulated in cancer cells. �Studies have linked N-cadherin to cancer metastasis by showing the aggressive tumor cells had preferentially turned on N-cadherin as opposed to E- or P-cadherin.
There are no reviews yet.