
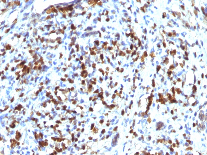
Formalin-fixed, paraffin-embedded human rhabdomyosarcoma stained with MyoD1 Recombinant Rabbit Monoclonal Antibody (MYOD1/2075R).

SDS-PAGE Analysis Purified MyoD1 Recombinant Rabbit Monoclonal Antibody (MYOD1/2075R). Confirmation of Purity and Integrity.

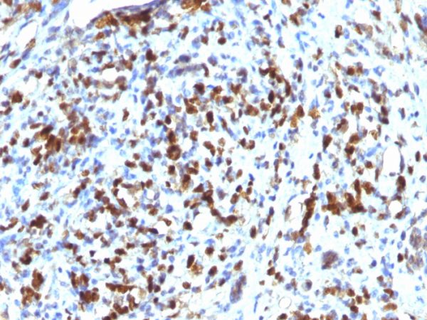
Formalin-fixed, paraffin-embedded human rhabdomyosarcoma stained with MyoD1 Recombinant Rabbit Monoclonal Antibody (MYOD1/2075R).

Analysis of Protein Array containing more than 19,000 full-length human proteins using MyoD1 Recombinant Rabbit Monoclonal Antibody (MYOD1/2075R).Z- and S- Score: The Z-score represents the strength of a signal that a monoclonal antibody (MAb) (in combination with a fluorescently-tagged anti-IgG secondary antibody) produces when binding to a particular protein on the HuProtTM array. Z-scores are described in units of standard deviations (SD's) above the mean value of all signals generated on that array. If targets on HuProtTM are arranged in descending order of the Z-score, the S-score is the difference (also in units of SD's) between the Z-score. S-score therefore represents the relative target specificity of a MAb to its intended target. A MAb is considered to specific to its intended target, if the MAb has an S-score of at least 2.5. For example, if a MAb binds to protein X with a Z-score of 43 and to protein Y with a Z-score of 14, then the S-score for the binding of that MAb to protein X is equal to 29.
Recognizes a phospho-protein of 45kDa, identified as MyoD1. This MAb does not cross react with myogenin, Myf5, or Myf6. Antibody to MyoD1 labels the nuclei of myoblasts in developing muscle tissues. MyoD1 is not detected in normal adult tissue, but is highly expressed in the tumor cell nuclei of rhabdomyosarcomas. Occasionally nuclear expression of MyoD1 is seen in ectomesenchymoma and a subset of Wilm s tumors. Weak cytoplasmic staining is observed in several non-muscle tissues, including glandular epithelium and also in rhabdomyosarcomas, neuroblastomas, Ewing s sarcomas and alveolar soft part sarcomas. Only nuclear staining should be considered as evidence of skeletal muscle differentiation.
There are no reviews yet.