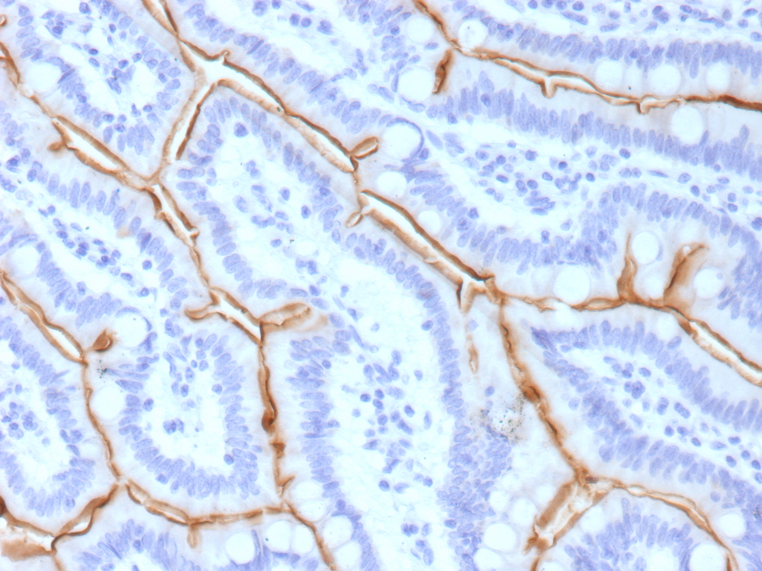
Mucins are epithelial glycoproteins with a high content of clustered oligosaccharides that are O-glycoside linked to tandem repeat peptides rich in threonine, serine and proline. Mucin 13 (MUC13), also designated downregulated in colon cancer 1 (DRCC1), is an epithelial and hemopoietic type I membrane protein that undergoes secretion and influences gastrointestinal mucosa levels. It is most abundant in epithelial tissues of the gastrointestinal and respiratory tracts, such as large intestine and trachea, followed by kidney, small intestine, appendix and stomach. Mucin 13 is a good differentiation marker for gastrointestinal mucosa and may also indicate certain gastric tumors. It localizes to the apical membrane of both columnar and goblet cells in the gastrointestinal tract, and within goblet cell thecae. Mucin 13 is a cleaved protein, and the b subunit, containing the cytoplasmic tail, can homodimerize.
There are no reviews yet.