
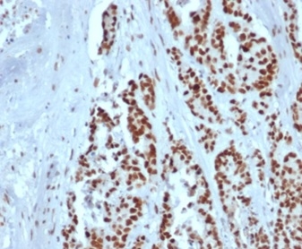
Formalin-fixed, paraffin-embedded human colon stained with MSH2 Recombinant Mouse Monoclonal Antibody (rMSH2/6548).

Formalin-fixed, paraffin-embedded human colon stained with MSH2 Recombinant Mouse Monoclonal Antibody (rMSH2/6548).

Western blot analysis of HCT116 cell lysate using MSH2 Recombinant Mouse Monoclonal Antibody (rMSH2/6548).

SDS-PAGE Analysis Purified MSH2 Recombinant Mouse Monoclonal Antibody (rMSH2/6548). Confirmation of Purity and Integrity of Antibody.

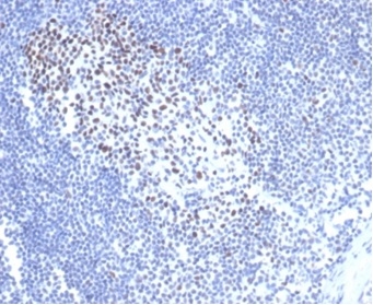
Formalin-fixed, paraffin-embedded cat lymph node stained with MSH2 Recombinant Mouse Monoclonal Antibody (rMSH2/6548).
Mutations in DNA mismatch repair genes are associated with hereditary nonpolyposis colorectal cancer (HNPCC). Initially, inherited mutations in the MSH2 and MLH1 homologs of the bacterial DNA mismatch repair genes MutS and MutL were found at high frequency in HNPCC and were shown to be associated with microsatellite instability. The demonstration that 10 to 45% of pancreatic, gastric, breast, ovarian and small cell lung cancers also display microsatellite instability has been interpreted to suggest that DNA mismatch repair is not restricted to HNPCC tumors but is a common feature in tumor initiation or progression.
There are no reviews yet.