
Formalin-fixed, paraffin-embedded human Colon from Lynch disease stained with MSH2 Mouse Monoclonal Antibody (MSH2/2622).

Formalin-fixed, paraffin-embedded human Thyroid Carcinoma stained with MSH2 Mouse Monoclonal Antibody (MSH2/2622).

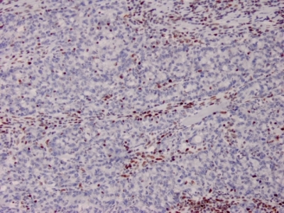
Formalin-fixed, paraffin-embedded human Basal Cell Carcinoma stained with MSH2 Mouse Monoclonal Antibody (MSH2/2622).

Western Blot Analysis of human HepG2, A549, and A431 cell lysate using MSH2 Mouse Monoclonal Antibody (MSH2/2622).

Flow Cytometric Analysis of A549 cells using MSH2 Mouse Monoclonal Antibody (MSH2/2622) followed by Goat anti-Mouse IgG-CF488 (Blue); Isotype Control (Red).

SDS-PAGE Analysis of Purified MSH2 Mouse Monoclonal Antibody (MSH2/2622). Confirmation of Purity and Integrity of Antibody

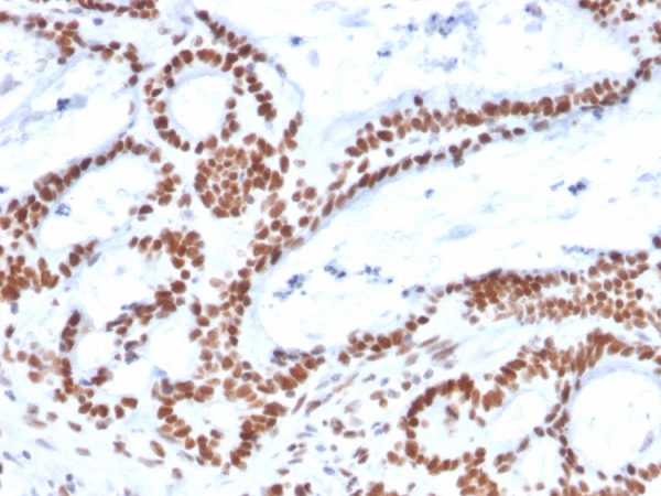
Formalin-fixed, paraffin-embedded human Colon Carcinoma stained with MSH2 Mouse Monoclonal Antibody (MSH2/2622).
Mutations in DNA mismatch repair genes are associated with hereditary nonpolyposis colorectal cancer (HNPCC). Initially, inherited mutations in the MSH2 and MLH1 homologs of the bacterial DNA mismatch repair genes MutS and MutL were found at high frequency in HNPCC and were shown to be associated with microsatellite instability. The demonstration that 10 to 45% of pancreatic, gastric, breast, ovarian and small cell lung cancers also display microsatellite instability has been interpreted to suggest that DNA mismatch repair is not restricted to HNPCC tumors but is a common feature in tumor initiation or progression.
There are no reviews yet.